
ARTICLE ORIGINAL Progrès en Urologie (1998), 8, 511-516
511
Conduite à tenir devant une petite tumeur du rein asymptomatique
de découverte fortuite
Samir SMAOUI (1), Yves FANTON (2), Renauld PERALDI (3), François PERNIN (1)
(1) Service d’Urologie, (2) Service de Médecine Interne, (3) Service d’Anatomo-Pathologie
Centre Hospitalier Général de la Miséricorde, 20000 Ajaccio, France
RESUME
Buts : La découverte fortuite des tumeurs rénales
est de plus en plus fréquente.
Toute petite tumeur du rein n'est pas obligatoire-
ment un cancer. Le but de notre étude est de
confronter les données radiologiques aux données
anatomo-pathologiques et d'établir une démarche
diagnostique et thérapeutique devant la découverte
for
tuite d'une petite tumeur rénale.
Matériel et Méthodes : Etude rétrospective de 22
tumeurs rénales asymptomatiques, découver
tes for-
tuitement, et mesurant moins de 5 cm de grand axe
sur pièce d'anatomopathologie.
R é s u l t a t s : La découverte de la tumeur est écho-
graphique dans 68% des cas. Tous nos malades
ont été opérés permettant un examen anatomopa-
thologique de la pièce opératoire. Il s'agit de 14
cancers, 4 angiomyolipomes, 2 adénomes et 2
kystes hémorragiques (à contenu épais).
L'échographie met en évidence une tumeur hypo-
échogène dans 13 cas, 11 parmi eux sont des can-
cers, et hyper-échogène dans les 7 autres cas, dont
4 angiomyolipomes, 2 cancers, et 1 adénome. La
tomodensitométrie montre une tumeur hétéro g è-
ne dans 12 cas; tous, sauf un, sont des cancers.
Dans les 10 autres cas, dont 4 cancers, la tumeur
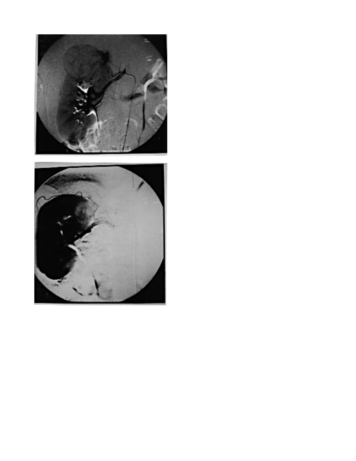
est homogène. L'artériographie montre une
tumeur hypervascularisée dans 3 cas, tous des
cancers, et hypovascularisée dans 7 cas : 2 can-
cers, 2 adénomes, 2 angiomyolipomes de très
petits volumes et un kyste hémorragique.
Conclusion : Malgré le développement de l'imagerie
médicale, d'autres progrès sont à espérer pour
résoudre les problèmes diagnostiques posés par cer-
taines tumeurs rénales asymptomatiques décou-
vertes fortuitement, en particulier pour les tumeurs
homogènes au scanner et hypovascularisées à l'ar-
tériographie.
Mots clés : Tumeur du rein, diagnostic, cancer du rein, adéno -
me rénal, angiomyolipome rénal, kyste rénal hémorragique.
Progrès en Urologie (1998), 8, 511-516.
Historiquement, les tumeurs rénales étaient révélées
par la triade symptomatique caractéristique : hématu-
rie, douleur et masse lombaire. Les examens radiolo-
giques laissaient peu de doute sur le diagnostic de can-
cer du rein. A ce stade symptomatique, le cancer est
souvent évolué; un tiers présentait des métastases au
moment du diagnostic [13].
Au cours de la dernière décennie, le développement de
l'échographie et de la tomodensitométrie a permis de
découvrir les tumeurs rénales de plus en plus fortuite-
ment et précocement [8]. Actuellement, on considère que
25 à 48% des tumeurs sont de découverte fortuite. Si les
grosses tumeurs ne posent qu'exceptionnellement des
problèmes diagnostiques, il n'en est pas de même d'une
petite tumeur rénale asymptomatique [5, 9, 15, 16].
Nous présentons ici notre expérience concernant 22
tumeurs rénales asymptomatiques de moins de 5 cm de
diamètre, découvertes fortuitement.
MATERIEL ET METHODES
De 1987 à 1996, 63 tumeurs rénales ont été opérées
dans le service d'urologie.
Parmi ces tumeurs, 22 (35%) étaient asymptomatiques et
mesuraient moins de 5 cm de diamètre, sur pièce d'ana-
tomopathologie. Les autres tumeurs, faisant plus de 5
cm, ont été écartées de notre étude, elles ne nous ont pas
posé de problème diagnostique. Il s'agissait de cancers.
Les patients étaient composés de 9 hommes et 13
f e m m e s . L'âge moyen était de 59 ans, avec des
extrêmes allant de 34 à 75 ans.
La découverte de la tumeur était échographique dans
16 cas (68,2%), urographique dans 2 cas, et scannogra-
phique dans 4 autres cas. Tous nos patients ont eu une
tomodensitométrie abdominale, et 20 d'entre eux ont
eu une échographie rénale. La plupart d'entre eux ont
eu une urographie intraveineuse et 10 ont bénéficié
d'une artériographie rénale. Une patiente a eu une biop-
sie percutanée échoguidée de la tumeur.
Manuscrit reçu : février 1998, accepté : mai 1998.
Adresse pour correspondance : Dr.S . Smaoui, Service d’Urologie, Centre
Hospitalier Général de la Miséricorde, 20000 Ajaccio.