En pratique
7
POURQUOI LE PRONOSTIC DU CANCER
DU PANCRÉAS EST-IL SI EFFROYABLE ?
Le pancréas, en particulier céphalique,
comporte plusieurs spécificités qui expli-
quent en partie pourquoi un cancer qui
sy développe est rapidement incurable.
Tout dabord,il contracte des rapports
très étroits avec les voies biliaires et le
duodénum. Un cancer de la tête du
pancréas va rapidement avoir un reten-
tissement sur ces organes adjacents.
Le traitement chirurgical devra sacrifier
une partie plus ou moins importante
des trois éléments de ce carrefour,avec
la complexité que cela suppose et la
morbidité qui en découle.
Ensuite, le pancréas livre passage aux
vaisseaux mésentériques supérieurs,
en arrière de listhme. Lengainement,
voire lenvahissement de ces vaisseaux
par une tumeur de la tête ou du corps
la rendra rapidement inextirpable. Un
envahissement du mésentère signe lim-
possibilité dexérèse, tous les
auteurs saccordant à considérer
que lablation complète de lintes-
tin grêle nest pas licite dans le
contexte.
Troisièmement, le drainage lym-
phatique du pancréas est très com-
plexe, se faisant soit vers la rate,
soit vers le tronc cœliaque, soit
dans le mésentère, soit en arrière
vers les vaisseaux aorticocaves
(Figure 1).Au moment du diagnos-
tic de cancer du pancréas, les gan-
glions sont atteints dans plus de
75 % des cas.
Quatrièmement, les métastases,
lorsquelles sont présentes,
condamnent le malade à brève
échéance, quel que soit le traite-
ment proposé (il ny a pas de sur-
vivant à un cancer métastatique du
pancréas, alors quil en existe par
exemple pour un cancer métastatique
colorectal).
Enfin,il existe assez fréquemment des
formes plurifocales (dans la littérature,
le taux de foyers multiples varie de 3
à 30 %).
LES LIMITES DU BILAN
DUN CANCER DU PANCRÉAS
L'échographie abdominale,la TDM,l'écho-
endoscopie, l'IRM et la cholangiopan-
créatographie rétrograde par voie endo-
scopique (CPRE) sont autant d'examens
morphologiques qui permettent de pré-
ciser les caractères de la tumeur, son
retentissement d'amont et son exten-
sion locorégionale. Les ponctions sous
imagerie,ou lors d'une écho-endoscopie,
les brossages ou les biopsies réalisés lors
des manœuvres endoscopiques peuvent
souvent aboutir à un diagnostic histolo-
gique précis.
Pourtant le bilan,aussi complet et sophis-
tiqué qu'il puisse être, ne permet pas
toujours d'affirmer absolument que telle
adénopathie supracentimétrique du pédi-
cule hépatique est tumorale, que l'ab-
sence de liseré de sécurité avec une
artère hépatique est la certitude d'une
inextirpabilité de la lésion, que tel pro-
longement vers la racine du mésentère
est la signature d'une tumeur fixée ou
encore que telle image tumorale fusant
vers la gauche est à l'évidence une cou-
lée tumorale et non un foyer de pan-
créatite chronique d'amont
QUEST-CE QUI PEUT RENDRE LE
CANCER DU PANCRÉAS
IRRÉSÉCABLE ?
LA TAILLE DE LA LÉSION
Le taux de résécabilité est corrélé à la
taille de la tumeur :le cancer est en pra-
tique toujours localement extirpable
lorsque le diamètre est inférieur à 2 cm
tandis quil ne lest quasiment
jamais lorsque sa taille
dépasse 4 cm. Cela en fait
dailleurs un critère prédictif
de survie dans plusieurs
études, la limite faisant bas-
culer le pronostic étant à 2,5
cm.
LATTEINTE GANGLIONNAIRE
Les groupes péripancréa-
tiques sont atteints demblée
dans environ 50 % des cas.
Ces métastases, intracapsu-
laires pour la plupart, sont
cependant parfois compa-
tibles avec une longue survie.
A linverse, lenvahissement
des chaînes mésentériques,
cœliaques ou aorticocaves
saccompagne dune survie
Critères de résécabilité dun cancer du pancréas
L
e cancer du pancréas est le quatrième cancer digestif en France. Son pronostic est sombre,
puisque moins de 5 % des patients sont en vie 5 ans après le diagnostic. La seule chance de
guérison d'un patient atteint d'un tel cancer passe par la résection chirurgicale. Cela revient
à dire que récuser un patient pour une intervention sur une simple suspicion d'inextirpabilité en imagerie
pourrait le condamner.
Figure 1 : Principaux relais ganglionnaires dans le cancer du pancréas
toujours inférieure à 1 an.Comme lont
rappelé Baulieux et Delpero en 2000,
lexérèse reste justifiée en cas denva-
hissement ganglionnaire proximal pour
trois raisons : elle reste le meilleur trai-
tement palliatif pour les tumeurs locale-
ment extirpables par des équipes entraî-
nées ; lextension ganglionnaire précise
nest connue qua posteriori ; des survies
prolongées ont été publiées.
LENVAHISSEMENT VEINEUX MÉSENTÉRICO-
PORTE
Lextension dun cancer du pancréas vers
le duodénum nest pas un signe dinex-
tirpabilité, puisque cet organe est résé-
qué dans le même temps que la tête du
pancréas.
Car cest en effet de là que peut venir la
contre-indication à lexérèse : le cancer
peut envahir le système porte (veine
mésentérique supérieure,tronc spléno-
mésaraïque ou tronc porte pédiculaire).
Plusieurs équipes radiologiques ont publié
des critères de résécabilité en se basant
sur des séries dangiographie :si langio-
graphie est normale, la lésion sera résé-
cable dans les trois quart des
cas ; si les vaisseaux paraissent
comprimés ou refoulés, le taux
de résécabilité chute à un tiers
des cas ; en cas dobstruction
vasculaire le taux dexérèse est
nul. Dautres auteurs ont publié
des corrélations similaires avec le
scanner hélicoïdal, (Figures 2,3).
Le scanner hélicoïdal, couplé à
l’écho-endoscopie et surtout à
l’écholaparoscopie (tous, exa-
mens très opérateur-dépen-
dants) permettrait d’être aussi
fiable que langiographie. La
place de lIRM pour préciser
lextirpabilité dun cancer du
pancréas est encore en évalua-
tion.
Il est difficile de récuser un
patient pour une opération si
lenvahissement veineux nest
pas massif et évident :un certain
nombre dentre eux pourront
en effet avoir une exérèse ; et
si les adhérences vasculaires ne
sont découvertes quen fin de
dissection du pancréas, il est tou-
jours difficile daffirmer quelles
sont tumorales et non pas
inflammatoires.Dans des séries
dexérèses larges avec sacri-
fice veineux mésentéricoporte
en cas dadhérences serrées,il
a été démontré que lexten-
sion du cancer à la veine nexis-
tait en fait que dans moins de
50 % des cas.
La résection dune partie du
tronc porte ou de la terminai-
son de la veine mésentérique
supérieure est faisable, avec
suture directe si la longueur
réséquée ne dépasse pas trois
centimètres, avec interposition
dun greffon veineux sinon.
Ishikawa a cependant publié un
article qui fait encore réfé-
rence, montrant que la survie
dun patient ayant subi une
résection veineuse pour un
envahissement de plus de la
moitié de la circonférence sur une lon-
gueur de plus de 15 mm était identique à celle dun même patient nayant pas
subi dexérèse
En pratique
8
Figure 2 : Cliché TDM réalisé chez une femme de 44 ans
montrant une volumineuse tumeur pancréatique céphalique avec
perte du liseré de sécurité graisseux entre la tumeur et la veine
mésentérique supérieure. L'exérèse a été possible et l'examen
anatomopathologique final a conclu en la présence
dun adénocarcinome du pancréas exocrine envahissant la
musculeuse duodénale.
Figure 4 : Cliché TDM réalisé chez une femme de 62 ans montrant
un adénocarcinome pancréatique corporéocaudal avec
envahissement veineux splénique, qui a pu être réséqué.
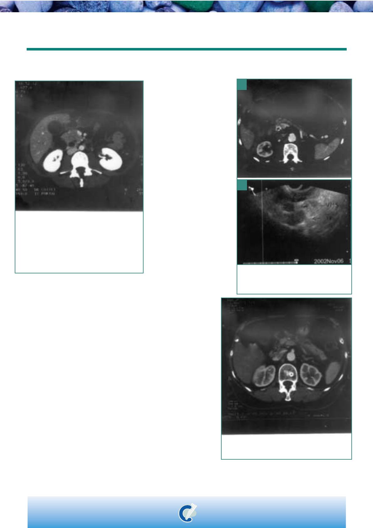
Figure 3 : Cliché TDM (a) et écho-endoscopie (b) réalisés chez
un patient de 69 ans, faisant suspecter un envahissement
veineux. Lintervention chirurgicale a infirmé cette atteinte et
la duodénopancréatectomie céphalique a pu être réalisée.
Critères de résécabilité… (Suite de la page 7)
A
B
En pratique
9
Un envahissement veineux et même
artériel splénique ne pose habituelle-
ment pas de problème lorsquil sagit
dun cancer du pancréas corporéal ou
a fortiori caudal : lintervention consis-
tant en une splénopancréatectomie
gauche avec curage (en labsence de
métastases à distance bien sûr), ces
vaisseaux seront de toute façon empor-
tés en monobloc avec le pancréas
tumoral (Figure 4).
LENVAHISSEMENT ARTÉRIEL
La question dune atteinte artérielle est
un problème : les artères hépatique,
mésentérique supérieure ou splé-
nique sont pendant très longtemps
refoulées par la tumeur. Lorsquelles
sont malheureusement envahies fran-
chement, il existe toujours de nom-
breux autres signes dinextirpabilité
comme une tumeur énorme, des
métastases diffuses,une atteinte vas-
culaire multiple avec thrombose
porte, une ascite de carcinose péri-
tonéale, etc. (Figure 5).
LES MÉTASTASES
Elles rendent le cancer du pancréas non
résécable, car la survie nest de toute
façon que de quelques mois. Encore
faut-il faire la preuve, avant dexclure
la chirurgie, de la nature dun nodule
hépatique ou pulmonaire.
Pr Jean-Luc Faucheron,
(Département de Chirurgie
Digestive et de lUrgence
Hôpital Albert Michallon, Grenoble)
Bibliographie
Cameron JL, Pitt HA, Yeo CJ et al. One hundred and forty five consecutive
pancreaticoduodenectomies without mortality. Ann Surg 1993 ; 217 : 430-5.
Minnard EA, Conlon KC, Hoos A, et al. Laparoscopic ultrasound enhances standard
laparoscopy in the staging of pancreatic cancer. Ann Surg 1998 ; 228 : 182-7.
Sauvanet A, Zins M. Bilan d'extension du cancer du pancréas exocrine. J Chir 1998 ; 135 : 10-6.
Baulieux J, Delpero JR. Traitement chirurgical du cancer du pancréas : les exérèses à visée
curative. Ann Chir 2000 ; 125 : 609-17.
Lévy P. Comment affirmer la résécabilité dun adénocarcinome de la tête du pancreas ?
Gastroenterol Clin Biol 2001 ; 25 : C19-C23.(pas d'abstract)
Tamm E, Charnsangavej C, Szklaruk J. Advanced 3-D imaging for the evaluation of pancreatic
cancer with multidetector CT. International Journal of Gastrointestinal Cancer 2001 ; 30 : 65-71.
Sil est vrai que lexistence de métastases ganglionnaires distales,lexis-
tence de métastases dans le foie, le poumon ou le péritoine ou encore
lexistence dune atteinte veineuse rendent un cancer du pancréas non
résécable, encore faut-il être sûr de ces atteintes.
Les métastases à distance sont le plus souvent facilement et rapidement
confirmées ou infirmées par la ponction sous imagerie.
Les adénopathies à distance,si elles ne peuvent pas faire leur preuve his-
tologique formelle sur une biopsie par imagerie ou par écho-endosco-
pie, ne doivent conduire à labstention dexérèse pancréatique quaprès
biopsie chirurgicale par laparotomie ou mieux par laparoscopie.
Lenvahissement veineux diagnostiqué sur une TDM ou même en écho-
endoscopie doit être réévalué de manière collégiale,en faisant intervenir
le radiologue, le gastro-entérologue et le chirurgien. Il arrive que lab-
sence de liseré graisseux de sécurité le long dune veine mésentérique
supérieure en TDM associée à une suspicion de bourgeon tumoral intra-
luminal en écho-endoscopie conduise quand même à une exérèse cura-
tive
A linverse, il arrive de ne trouver la contre-indication à lexérèse qu’à
la laparotomie, alors que les examens pré-opératoires et la cœliosco-
pie navaient identifié aucun critère dirrésécabilité (Figure 6).
Figure 6 : Cliché TDM réalisé chez un patient de 67 ans ne
montrant qu'une petite lésion pancréatique céphalique sans
signe d'inextirpabilité. La cœlioscopie première n'a montré
aucune anomalie patente. Malheureusement, lors de la
conversion, l'exploration a fait découvrir 3 nodules de carcinose
dans le plan de décollement du fascia de Toldt droit (derrière le
colon droit)
EN PRATIQUE
Figure 5 : Cliché TDM réalisé chez un patient de 52 ans
montrant un volumineux cancer du pancréas associé à des
métastases hépatiques, une carcinose péritonéale (ascite) et
des envahissements vasculaires.
1 / 3 100%
La catégorie de ce document est-elle correcte?
Merci pour votre participation!

Faire une suggestion

Avez-vous trouvé des erreurs dans l'interface ou les textes ? Ou savez-vous comment améliorer l'interface utilisateur de StudyLib ? N'hésitez pas à envoyer vos suggestions. C'est très important pour nous!