* Service de radiologie digestive, pavillon H Radio,
hôpital Édouard-Herriot, 69000 Lyon.
L
a transplantation hépatique
reste un geste techniquement
complexe, nécessitant un
bilan morphologique complet du rece-
veur à la recherche des complications
de la cirrhose et, lorsque cette option est
retenue, du donneur vivant à la
recherche de variantes anatomiques qui
peuvent modifier la stratégie opératoire.
Cet article fait le point des techniques
d’imagerie utilisées dans le cadre de ce
bilan par imagerie, en rappelant les
conditions techniques de réalisation des
examens et leur apport dans les diffé-
rentes situations cliniques rencontrées.
TECHNIQUES D’EXAMEN
Écho doppler
L’examen de première intention réalisé
dans le cadre du bilan prétransplanta-
tion, mais aussi lors du suivi postopéra-
toire des greffés, est l’écho doppler, car
il s’agit d’un examen non invasif et faci-
lement réalisable qui peut éventuelle-
ment être fait au lit du patient.
Il est pratiqué chez un sujet à jeun, à
l’aide d’une sonde de 3,5 MHz ; il com-
prend, dans un premier temps, une
étude morphologique du foie, des voies
biliaires et de l’ensemble de la cavité
abdomino-pelvienne en mode B, puis
une étude vélocimétrique de l’ensemble
des structures vasculaires hépatiques
grâce à l’écho doppler couleur et pulsé.
Cet examen apporte des informations
fondamentales en ce qui concerne les
flux vasculaires, notamment de l’artère
hépatique après transplantation. Toute-
Le Courrier de la Transplantation - Volume V - n
o
3 - juil.-août-sept. 2005
164
DOSSIER
thématique
Apport
des techniques
nouvelles
d’imagerie
en
transplantation
Coordinateur : P. Chevalier,
service de chirurgie cardiovasculaire,
hôpital Européen Georges-Pompidou,
75015 Paris
&Apports du scanner et de l’imagerie par résonance magnétique
en transplantation cardiaque –
P. Cluzel, S.Varnous, B. Cocheteux,
G. Drobinski, N. Dahbi, C. D’Alessandro, R. Boutekadjirt,A. Pavie, M. Auguste,
I. Gandjbakhch (page 146)
&Apport de l’imagerie moderne en transplantation rénale
J.M. Correas, S. Poirée, D. Anglicheau, C. Legendre, O. Hélénon
(page 153)
"Imagerie de la transplantation hépatique
S. Ficarelli, C. Ravard, F. Pilleul, P. J.Valette
&Apport de l’imagerie moderne en transplantation pulmonaire
A. Hernigou, R. Guillemain, M.P. Revel, C. Lefort, S. Couchon, G. Frija
(page 180)
Imagerie de la transplantation hépatique
S. Ficarelli*, C. Ravard*, F. Pilleul*, P.J. Valette*
fois, il ne procure pas d’iconographie
suffisante pour que le chirurgien puisse
planifier son intervention, et il doit être
complété par une imagerie scanner ou
IRM.
Scanner
L’étude du parenchyme et de la vascula-
risation hépatiques s’est améliorée en
tomodensitométrie grâce à l’évolution
technologique spiralée et, plus récem-
ment, à l’apparition des scanners multi-
détecteurs qui permettent d’obtenir des
coupes très fines et de balayer rapide-
ment le foie en une seule apnée.
Les acquisitions tomodensitométriques
peuvent désormais être répétées aux dif-
férents temps vasculaires hépatiques,
notamment au temps artériel et au
temps portal, qui sont indispensables
pour une exploration optimale du foie.
La phase artérielle dure une dizaine de
secondes (de 15 à 25 secondes après le
début de l’injection) ; elle comporte une
phase précoce correspondant au temps
vasculaire pur et une phase parenchy-
mateuse plus tardive, aux alentours de
25 secondes, au moment de laquelle se
fait notamment la détection des nodules
hypervasculaires. La phase portale se
déroule environ 60 secondes après le
début de l’injection.
Le temps de rehaussement “utile” doit
coïncider avec le temps d’acquisition.
Pour s’adapter aux variations de vitesse
circulatoire de chaque patient, il est
nécessaire d’utiliser des systèmes de
détection de rehaussement après l’injec-
tion du produit de contraste iodé : la
prise de contraste de référence est, en
général, celle de l’aorte à hauteur du
tronc cœliaque (1) ; lorsque le seuil de
rehaussement prédéfini au sein de cette
structure est atteint, l’acquisition est
lancée selon un protocole adapté pour
coïncider avec les temps désirés.
Les autres paramètres influant sur la
qualité de l’imagerie par scanner sont le
débit d’injection (optimal à 4 ml/s) ainsi
que la concentration du produit de
contraste. Ils permettent d’améliorer le
gradient de densité entre une tumeur ou
une structure vasculaire et le foie.
Les coupes acquises sont examinées
dans le plan axial natif, mais peuvent
aussi faire l’objet de reconstructions
multiplanaires vasculaires de type MPR
[multiplanar reformation],MIP [maxi-
mum projection intensity] (figure 1) et
3D VRT [volume-rendered technique]
(figure 2). Les plans de reconstruction
sont le plus souvent axiaux ou coro-
naux, mais peuvent être adaptés selon
l’anatomie de chaque patient et les ano-
malies repérées sur les coupes natives.
Les reconstructions MIP et VRT per-
mettent ainsi de visualiser préférentiel-
lement les vaisseaux par rapport aux
structures tissulaires adjacentes, don-
nant des images qui se rapprochent de
celles obtenues en artériographie.
Des logiciels spécifiques de post-traite-
ment permettent la réalisation de volu-
métries après délimitation par un opéra-
teur des contours du foie et de ses seg-
ments.
Enfin, il est possible d’étudier l’arbre
biliaire au scanner en utilisant des pro-
duits de contraste à tropisme biliaire tels
que le meglumine iopamide (2). Pour
certains auteurs, le cholangio-scanner
se révèle plus performant que la cholan-
gio-IRM (2, 3).
IRM
Les applications de l’IRM en imagerie
hépatique sont multiples. La variété des
séquences d’IRM offre la possibilité
d’affiner l’étude du parenchyme hépa-
tique et d’obtenir des cartographies vas-
culaires et biliaires.
$Les séquences pondérées en T1
avec saturation spectrale du signal de la
graisse (séquences en phase et en oppo-
sition de phase utilisant les différences
de fréquence de précession entre l’eau
et la graisse) permettent d’évaluer la
stéatose hépatique (4) et aident à carac-
tériser les nodules. L’IRM est, compara-
tivement à l’échographie et au scanner,
l’examen le plus spécifique pour recon-
naître la composante graisseuse d’une
lésion (5).
$Les séquences classiques pondérées
en T2 en écho de spin de type FSE (Fast
Spin Echo) ou TSE (Turbo Spin Echo)
ont pour spécificité de permettre la dis-
tinction entre les lésions liquidiennes et
solides.
$Les séquences d’angio-IRM sont
des séquences rapides (en une apnée)
d’écho de gradient 3D T1 réalisées
après injection de gadolinium, acquises
en coupes coronales et reconstruites
dans les différents plans de l’espace (le
plus souvent en MIP) ; les délais d’ac-
Le Courrier de la Transplantation - Volume V - n
o
3 - juil.-août-sept. 2005
165
DOSSIER
thématique
Figure 1. Reconstruction en technique MIP
à partir de coupes scanographiques mon-
trant la vascularisation artérielle et portale
du foie chez un donneur vivant avant prélè-
vement.
Figure 2. Reconstruction en technique VRT
à partir de coupes scanographiques mon-
trant la vascularisation artérielle du foie
chez un donneur vivant avant prélèvement.
quisition sont les mêmes qu’au scanner
(définis par rapport au passage du bolus
ou à des temps préétablis), permettant
l’étude préférentielle des structures
artérielles et/ou veineuses.
$La cholangio-IRM, ou bili-IRM, est
une méthode non invasive qui représente
une bonne alternative à la cholangiopan-
créatographie rétrograde endoscopique
pour explorer l’arbre biliaire (6-8). Les
séquences conventionnelles de bili-IRM
sont des séquences pondérées en T2.
Deux types de séquences sont classique-
ment utilisés : il s’agit d’une part de
séquences d’imagerie ultrarapide de
type Turbo Spin Echo Single Shot, per-
mettant une étude morphologique biliaire
et de l’ensemble de l’abdomen dans les
plans axial et/ou coronal et, d’autre part,
de séquences très fortement pondérées
en T2 acquises en écho de gradient 3D
(séquences Restore), où seul l’arbre
biliaire est visible, donnant ainsi des
images comparables à celles d’une cho-
langiographie, qui peuvent être recons-
truites dans les différents plans de l’es-
pace par des techniques MIP.
$De façon plus récente, des séquences
pondérées en écho de gradient T1
avec injection intraveineuse de pro-
duit de contraste à élimination biliaire
comme le mangafodipir, faisant appa-
raître les voies biliaires en hypersignal,
sont venues compléter l’exploration
biliaire ; ces séquences apparaissent
pour certains auteurs supérieures aux
séquences classiques (9),permettant
notamment une meilleure détection des
variantes anatomiques biliaires. Le
mangafodipir est habituellement utilisé
lors du bilan prétransplantation chez le
donneur vivant et lors des complications
biliaires postopératoires à type de fistule
ou de sténose.
Artériographie
Compte tenu de son caractère invasif,
l’artériographie n’est plus réalisée à titre
diagnostique dans le cadre du bilan pré-
transplantation (10). Après la greffe, cet
examen est pratiqué en complément du
scanner ou de l’IRM en cas de complica-
tion vasculaire, et permet alors un traite-
ment radiologique dans le même temps.
BILAN PRÉ TRANSPLANTATION
Imagerie du receveur
"Diagnostic du carcinome hépato-
cellulaire. La majorité des transplanta-
tions étant réalisées chez des patients
cirrhotiques, la détection et la caractéri-
sation des nodules hépatiques sont pri-
mordiales.
Le carcinome hépatocellulaire (CHC)
dans sa forme nodulaire présente un
échogénicité variable : il apparaît le
plus souvent hypoéchogène, mais peut
également être isoéchogène au paren-
chyme, hyperéchogène, hétérogène ou
en cocarde (11). Les CHC infiltrants
sont difficilement analysables en
échographie, souvent mal visualisés.
L’échographie dépiste avec une faible
sensibilité les hépatomes chez les
patients cirrhotiques, et n’est donc pas
l’examen de référence pour cette indi-
cation. La sensibilité globale de cet
examen est évaluée à 27 % dans une
étude (12) portant sur 51 hépatomes,
et à 29,6 % dans une étude (13) fondée
sur 39 CHC, où est également démon-
trée une corrélation avec la taille des
lésions (sensibilité estimée à 50 %
pour les nodules mesurant entre 3 et
5cm). L’échographie avec injection de
produit de contraste n’est pas contri-
butive à l’heure actuelle pour la détec-
tion tumorale, compte tenu du caractè-
re fugace du rehaussement des hépa-
tomes au temps artériel ; toutefois, cet
examen peut aider à caractériser une
lésion hépatique connue (11, 14, 15),
notamment en apportant des argu-
ments pour différencier un carcinome
hépatocellulaire d’un nodule de régé-
nération.
La présentation au scanner et à l’IRM
des hépatomes étant très variable, c’est
le caractère hypervasculaire d’une lésion
(figures 3, 4) suspecte qui constitue le
critère diagnostique le plus sensible et le
plus spécifique de CHC (16, 17). En
l’absence d’injection, le signal à l’IRM
des hépatomes, des macronodules de
régénération et des nodules frontières
chez un patient cirrhotique est trop
variable pour être considéré comme un
critère sémiologique fiable (16).
Le Courrier de la Transplantation - Volume V - n
o
3 - juil.-août-sept. 2005
166
DOSSIER
thématique
Figure 3 A et B. Carcinome hépatocellulaire. Mise en évidence de deux nodules hypervascu-
laires au temps artériel A. Le temps portal B. montre le retour rapide à l’hypodensité du nodule
hépatique droit, alors que le nodule hépatique gauche, bien visible au temps artériel (flèche),
n’est plus détecté.
AB
À l’heure actuelle, il est admis que le
scanner est une technique performante
pour détecter les hépatomes. L’étude de
Valls portant sur 85 CHC évalue la sen-
sibilité globale de cette technique
d’imagerie à 78,8 %, avec une élévation
à 93,6 % pour les lésions de plus de
2cm (17). L’IRM reste cependant dans
la littérature l’examen de référence pour
cette indication avec une sensibilité
encore supérieure (16, 18).
Le scanner trouve également sa place
dans le bilan d’extension des patients
présentant un CHC avéré : à l’étage
abdomino-pelvien, il permet la détection
des lésions secondaires telles que les
nodules de carcinose péritonéale ; à
l’étage thoracique, il complète le bilan
en dépistant les métastases pulmonaires.
"Bilan vasculaire
$Évaluation de l’hypertension por-
tale. La sévérité de l’hypertension por-
tale (HTP) est évaluée grâce à l’écho
doppler et aux examens d’imagerie en
coupes qui permettent facilement de
mesurer une splénomégalie, d’estimer
l’abondance d’un épanchement asci-
tique, de repérer l’existence de réseaux
de dérivation porto-systémiques
(figure 5) tels que des varices coro-
naires stomachiques, des shunts spléno-
rénaux ou une reperméabilisation de la
veine para-ombilicale.
Au doppler, le ralentissement (vitesses
moyennes inférieures à 10 cm/s), l’in-
version ou l’alternance du flux portal
signent une HTP, de même qu’une
inversion du flux dans la veine splé-
nique ou la veine gastrique gauche.
$Cartographie vasculaire. Chez le
patient amené à subir une transplantation
hépatique, la description des variantes
anatomiques portales et veineuses sus-
hépatiques a peu d’incidence, car elle ne
modifie pas la conduite chirurgicale.
En revanche, il convient de rechercher
les variantes anatomiques de la vascu-
larisation artérielle, à savoir principale-
ment l’existence d’une artère hépa-
tique gauche naissant de l’artère gas-
trique gauche et/ou d’une artère hépa-
tique droite naissant de l’artère mésen-
térique supérieure (figure 6). Il faut
également dépister d’éventuels ané-
vrismes de l’artère splénique en cas
d’hypertension portale et les sténoses
du tronc cœliaque (athérome ou liga-
ment arqué), ainsi que les réseaux de
suppléance qui s’y associent, comme
une revascularisation artérielle hépa-
tique par l’artère gastroduodénale.
Cette exploration se fait grâce à l’ana-
lyse des coupes natives et des recons-
tructions tridimensionnelles du scanner
ou de l’IRM.
La thrombose portale ne constitue plus
une contre-indication formelle à la greffe
(19),mais reste la source d’un nombre
accru de complications et peut faire
Le Courrier de la Transplantation - Volume V - n
o
3 - juil.-août-sept. 2005
167
DOSSIER
thématique
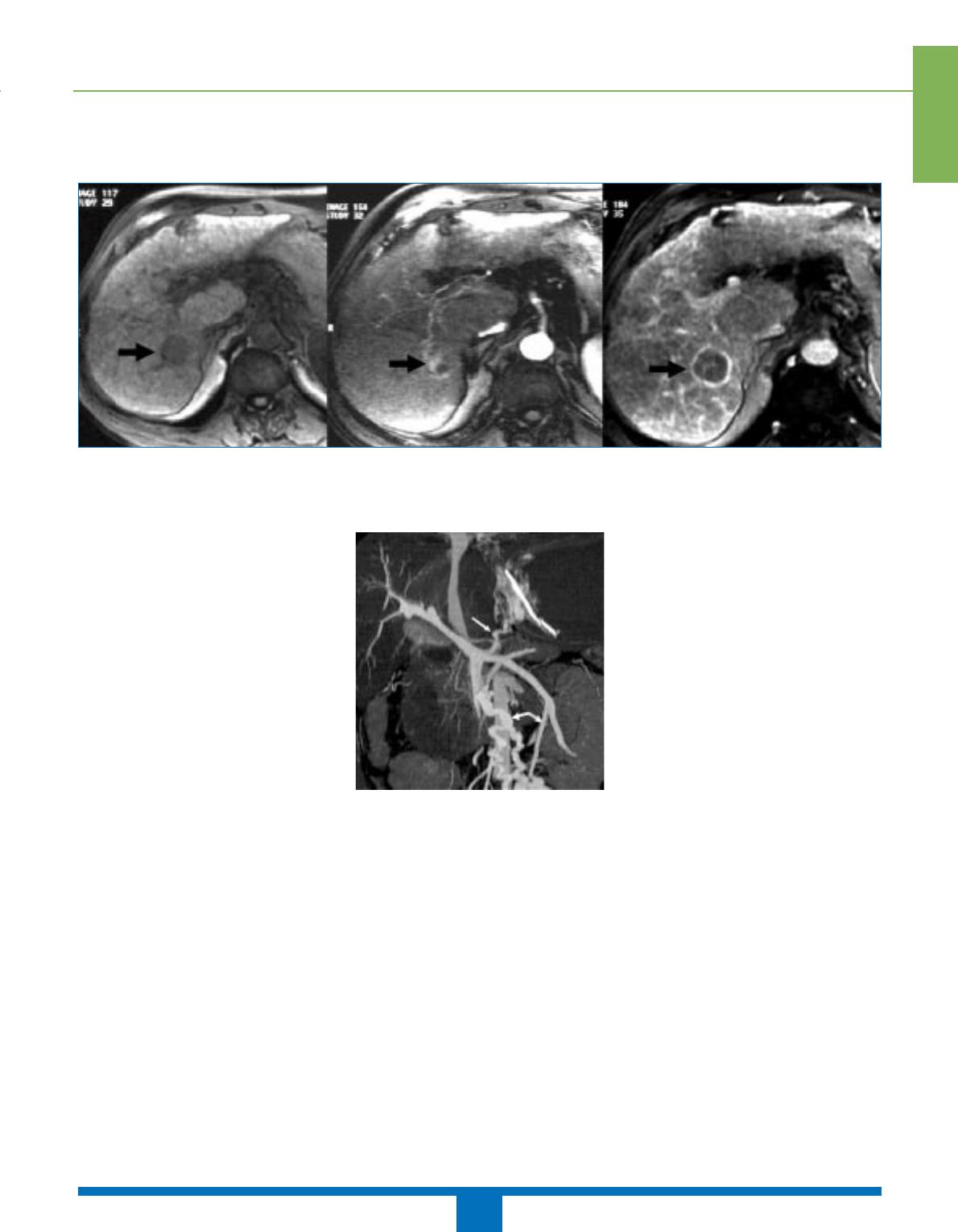
Figure 4 A, B et C. Carcinome hépatocellulaire : nodule hypo-intense en T1 avant injection A,hyperintense hétérogène au temps artériel B,
avec une prise de contraste périphérique au temps tardif traduisant la présence d’une capsule péritumorale caractéristique C.
Figure 5. Bilan d’hypertension portale au
scanner : reconstruction MIP scanner mon-
trant un réseau variqueux gastrique ali-
menté par la veine coronaire stomachique
(flèche),et un réseau de dérivation mésen-
térique inférieur drainé dans la veine cave
inférieure par l’intermédiaire d’un réseau
pelvien (double flèche).
AB C
remettre en cause la transplantation. Il
est donc important de s’assurer de la per-
méabilité de l’ensemble du système por-
tal et veineux mésentérique lors du bilan
préopératoire. L’écho doppler permet un
bon dépistage des thromboses portales
(20) et peut être complété indifférem-
ment par le scanner ou l’IRM.
Avant une greffe hépatique, il est utile
de mesurer le diamètre du tronc porte
dans la zone anastomotique, soit à mi-
hauteur du pédicule, afin d’apprécier la
faisabilité d’une anastomose termino-
terminale, ou d’envisager la nécessité
d’une reconstruction vasculaire (en cas
de disparité de calibre).
Imagerie du donneur vivant
La greffe hépatique avec donneur vivant
est de plus en plus souvent proposée en
réponse aux indications croissantes de
transplantation hépatique et à la pénurie
chronique de greffons cadavériques. La
technique, maintenant éprouvée sur de
nombreux malades, comprend schéma-
tiquement deux variantes : la greffe du
lobe gauche (segments II et III), essen-
tiellement pratiquée en pédiatrie, et la
greffe du foie droit (segments V, VI, VII
et VIII) pour les receveurs adultes.
Les problèmes chirurgicaux concernent
le donneur et le receveur et sont de deux
types : des problèmes purement tech-
niques en relation avec les variantes vas-
culaires et biliaires des deux sujets, et
des problèmes d’ordre physiopatholo-
gique en relation avec le volume de foie
transplanté. Le greffon doit être préle
avec les voies biliaires et les pédicules
vasculaires nécessaires à son implanta-
tion chez le receveur sans pour autant
compromettre la vascularisation et le
drainage biliaire du foie restant chez le
donneur. Par ailleurs, le volume de foie
transplanté doit être suffisant pour assurer
un retour rapide à une fonction hépato-
cellulaire normale chez le receveur, tout
en laissant assez de volume au donneur
pour lui épargner toute complication liée
à la réduction du volume fonctionnel
hépatique.
La résection du lobe gauche pose géné-
ralement peu de difficultés techniques.
Le volume du greffon est suffisant pour
assurer à l’enfant receveur une fonction
hépatique satisfaisante, et les donneurs
de lobe gauche gardent un volume rési-
duel important qui favorise une régéné-
ration hépatique rapide. Les problèmes
sont plus nombreux avec les greffons
droits, qui nécessitent une résection
plus difficile et plus invasive sur le plan
technique.
L’évaluation préopératoire des donneurs
potentiels par l’imagerie est donc essen-
tielle. Elle a pour objectif d’identifier les
variations anatomiques vasculaires
hépatiques et biliaires, les modifications
du parenchyme hépatique (stéatose
hépatique, lésions focalisées), et de don-
ner une estimation des volumes des seg-
ments hépatiques. Les techniques d’ima-
gerie utilisées dans le bilan prégreffe
sont le scanner, l’IRM et l’échographie.
"Volumétrie et diagnostic de stéatose
hépatique. Les fonctions hépatiques
immunitaires et de synthèse dépendent
du volume du foie (22) ; il est donc
indispensable d’évaluer le volume du
futur greffon pour le receveur et le volume
du foie restant après hépatectomie pour
le donneur. Le ratio entre le poids hépa-
tique suffisant et le poids corporel varie
de 0,5 à 1 % (21) ; un ratio de 0,8 % est
le plus souvent considéré comme satis-
faisant pour prévenir l’insuffisance
hépatocellulaire (23).
Les mesures de volumétrie s’effectuent
grâce à des logiciels de post-traitement
à partir d’un scanner ou d’une IRM.
L’analyse est facilitée lorsque l’examen
est injecté, car l’opérateur délimite
manuellement avec un curseur électro-
nique les segments et les bords hépa-
tiques concernés en s’aidant des struc-
tures portales et veineuses sushépa-
tiques : le volume du foie total du don-
neur est toujours mesuré, ainsi que celui
du foie droit (en vue d’une greffe chez
un adulte) ou du lobe gauche (en vue
d’une greffe chez un enfant).
La détermination des volumes hépa-
tiques par la tomodensitométrie
(figure 7) est bien corrélée aux volumes
hépatiques réels avec un coefficient de
corrélation proche de l’unité (24, 25).
"Analyse vasculaire. L’étude anato-
mique vasculaire chez un donneur
vivant est fondamentale afin de guider
le chirurgien pendant l’intervention
(prévision du nombre d’anastomoses à
réaliser) et de repérer des variantes pou-
vant remettre en question le don de foie
(26). Cette étude peut être effectuée par
angioscanner ou par angioIRM (23). Il
est difficile de recommander une tech-
nique, la supériorité de l’un ou l’autre
de ces examens n’étant pas démontrée
lorsque des équipements performants
sont utilisés (1).
$Anatomie artérielle hépatique. Les
variations de l’anatomie artérielle hépa-
tique sont fréquentes ; une étude de
Michel portant sur 1 000 patients a
montré que ces variations étaient retrou-
vées dans 24,3 % des cas (27).
Le Courrier de la Transplantation - Volume V - n
o
3 - juil.-août-sept. 2005
168
DOSSIER
thématique
Figure 6. Variation anatomique artérielle :
reconstruction MIP scanner montrant une
artère hépatique droite issue de la mésenté-
rique supérieure.
1 / 14 100%
La catégorie de ce document est-elle correcte?
Merci pour votre participation!

Faire une suggestion

Avez-vous trouvé des erreurs dans l'interface ou les textes ? Ou savez-vous comment améliorer l'interface utilisateur de StudyLib ? N'hésitez pas à envoyer vos suggestions. C'est très important pour nous!