
encéphalitiques spécifiques sont tardives, lorsque les patients sont au stade
sida. L’infection directe des neurones n’a jamais été démontrée et
l’intervention d’autres facteurs que le virus lui-même est très probable. Des
facteurs indirects induits par la présence du virus, même en faible quantité,
dans le système nerveux sont certainement à l’origine de l’encéphalopathie.
La libération, par les macrophages, de substances toxiques telles que
protéines virales, cytokines, glutamate, acide quinoléique, récepteur du N-
méthyl-D-aspartate (NMDA) et diverses molécules d’adhérence, pourrait
expliquer l’évolution lentement progressive, fatale, combinée à des lésions
microscopiquespeuintenses
[1, 49]
.Àcôtédurôleprimordial probablejouépar
les macrophages dans la genèse de l’encéphalite VIH, d’autres auteurs,
arguant de leur petit nombre dans certains cas, font intervenir les astrocytes
réactionnels présents dans la substance blanche par l’intermédiaire de
molécules d’adhérence. Mais l’importance de la détérioration intellectuelle
et des troubles moteurs impose que des substances toxiques agissent sur les
neurones corticaux et/ou des noyaux gris centraux, peut-être de manière
réversible.
Depuis 1988, date du début des traitements par la zidovudine, il semble que
l’incidencedes encéphalites tardivesduVIH diminueen Europe etauxÉtats-
Unis
[19]
.Depuis 2 ans, l’effetdestrithérapies,malgrél’absence de publication
récente, est spectaculaire, et nous n’avons observé aucune encéphalite VIH,
le taux des autopsies des patients VIH étant divisé par cinq.
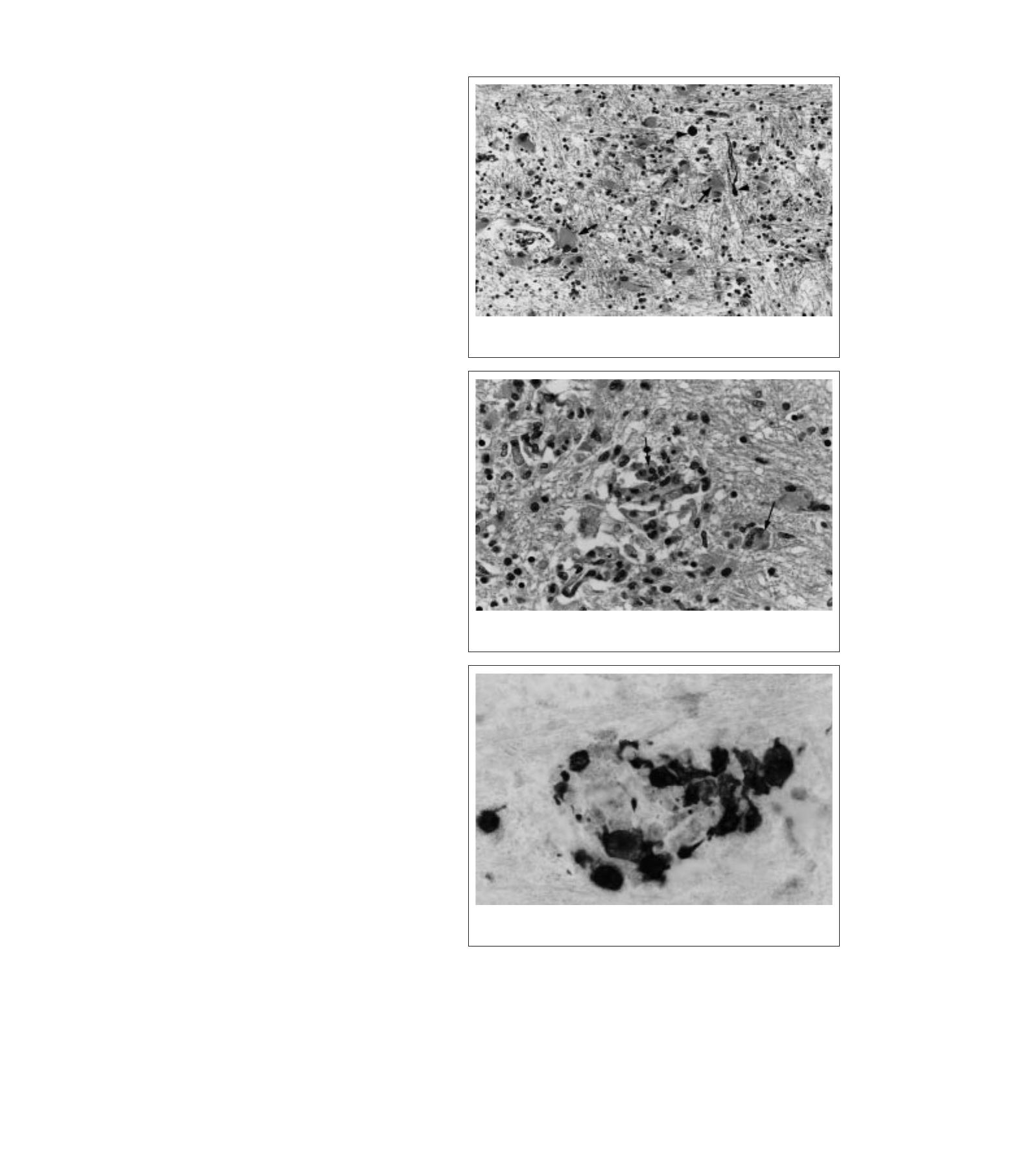
À côté des lésions encéphalitiques, des désordres vasculaires ne sont pas
exceptionnels chez les patients atteints du VIH, immunodéprimés ou non. Si
les accidents vasculaires ischémiques étendus sont rares chez ces patients,
leursurvenue chez un adulte jeunedoitfairerechercherunesyphilisquiinduit
souvent une artérite. Les séries autopsiques montrent un taux relativement
élevédelésionsischémiques,souvent multiples et depetite taille. Deslésions
des capillaires et petites artérioles sont observées, avec parfois un
épaississement massif de leur paroi occluant leur lumière (fig 4)
[55]
.De
micro-infarctus hémorragiques sont parfois rencontrés (fig 5). Enfin, des
infiltrats inflammatoires lymphocytaires sont très fréquents. On notera la
possibilité d’une prolifération lymphoïde TCD8
+
multiviscérale qui peut
toucher le système nerveux, central et périphérique.
Enconclusion,destroublesdesfonctionssupérieuressonttrès fréquents chez
les patients VIH, mais plus souvent liés à une infection opportuniste ou à un
lymphome ; le diagnostic d’encéphalite VIH ne devra être porté qu’après
éliminationd’uneautre cause. Son traitement étant le traitement de la maladie
générale, au mieux par la trithérapie, on espère la voir diminuer de fréquence
ou l’améliorer. La seule restriction à l’optimisme actuel est le mauvais
passage de la majorité de ces drogues au travers de la barrière
hématonévraxique.
Infections opportunistes
Parasites
Toxoplasmose
Ce parasite, dont l’hôte habituel est le chat domestique, est responsable, en
France, de l’infection opportuniste la plus fréquente du système nerveux
central chez les patients porteurs du VIH. Le toxoplasme est transmis à
l’homme par l’ingestion de viande peu cuite. L’incidence de l’encéphalite
toxoplasmique est proportionnelle à la prévalence des anticorps
antitoxoplasmiques. Compte tenu des habitudes culinaires, la prévalence de
la toxoplasmose est très élevée en France et en Amérique du Sud (autour de
85 %), moyenne en Europe du Sud (20-50 %) et faible aux États-Unis et en
Europe du Nord (<25 %). Il en résulte que l’incidence de l’encéphalite
toxoplasmique est beaucoup plus élevée en France qu’aux États-Unis, avec
respectivement un risque de 50 % contre environ 25 % des patients
séropositifs. L’encéphalite toxoplasmique se développe chez des patients
ayant une sérologie positive pour le toxoplasme (97 %). Le développement
de l’encéphalite toxoplasmique se fait chez des patients très
immunodéprimés, 75 % ayant moins de 50 CD4/mL
[65]
. Chez l’enfant, elle
ne s’observe qu’à partir de 8-10 ans. Si une encéphalite toxoplasmique doit
être suspectée chez un patient atteint de sida qui présente un déficit
neurologique central, elle est actuellement un mode fréquent de découverte
delamaladieVIHchezdespatientsdontlestatutvirologiquen’estpasconnu.
Les premières séries autopsiques montraient un taux élevé d’encéphalites
toxoplasmiques, 40 % pour les premières séries françaises
[33]
; la mise en
route de traitements préventifs, quasiment systématiques chez les patients
ayantuntauxdeCD4inférieurà100/mL,a fait considérablement diminuer la
mortalité liée à la toxoplasmose. Les signes neurologiques sont variables,
alliant des signes déficitaires focaux d’aggravation rapide et/ou des signes
encéphalitiques diffus. La fièvre est présente dans la moitié des cas. Les
manifestations cliniques associent un déficit sensitivomoteur, des crises
comitiales, focales ou généralisées, des troubles cérébelleux, des céphalées,
desmouvementanormaux et des troubles cognitifs et psychiatriques, pouvant
aller jusqu’au coma. Une paraparésie d’installation subaiguë peut être
secondaire à une toxoplasmose médullaire. De tels troubles neurologiques
chez un patient VIH imposent de pratiquer très rapidement une imagerie,
TDM et/ou IRM. Les lésions sont souvent multifocales, sous la forme de
lésions hypodenses, arrondies, prenant le contraste, souvent associées à un
œdème périphérique (fig 6). Ces lésions sont souvent situées dans les noyaux
gris centraux ou à la jonction cortico-sous-corticale. L’IRM avec gadolinium
montre parfois des lésions de plus petite taille, non visibles au scanner
[48]
.
Mais l’imagerie peut être moins spécifique en cas d’encéphalite diffuse, avec
deshypodensitésdiffusesdelasubstanceblanche,voirenormale.Aucunedes
images n’est toutefois spécifique et le diagnostic différentiel avec un
lymphome primitif est souvent posé. La biologie est de peu d’apport
diagnostique en France dans la mesure où la majorité des adultes sont
séropositifs pour la toxoplasmose. L’étude du LCR est peu contributive et
souvent contre-indiquée en raison du processus expansif intracrânien. En
pratique, chez un patient VIH positif, toute lésion intracérébrale doit être
considérée, par argument de fréquence, comme une toxoplasmose et
rapidement traitée comme telle. Le traitement antitoxoplasmique d’épreuve
est le plus souvent très efficace et, s’il est institué précocement, une guérison
est possible. On applique un traitement d’attaque durant un minimum de
3 semaines. Ce traitement associe le plus souvent, par voie orale,
pyriméthamine et sulfadiazine avec de l’acide folique. Diverses études
montrent que 70 à 90 % des patients répondent à cette bithérapie
[50]
. Les
corticoïdes ne sont indiqués qu’en cas d’hypertension intracrânienne. La
toxicité de ces produits est élevée, avec de fréquentes lésions
dermatologiques, hématologiques (leuconeutropénie et thrombopénie),
lésions rénales et coliques et cytolyse hépatique. Une des alternatives
thérapeutiques est l’utilisation, moins efficace, de clindamycine
[40]
. Les
anticonvulsivants ne sont prescrits qu’en présence de crises comitiales ; la
Dépakinetest utilisée préférentiellement. La surveillance est clinique et
neuroradiologique : une réponse clinique est souvent objective au bout de
15 jours. Une imagerie de contrôle doit être faite après2à4semaines de
traitement. En l’absence d’amélioration clinique au bout de 3 semaines de
traitement supposé efficace, d’aggravation ou d’augmentation des lésions en
imagerie,une biopsiestéréotaxique peut êtreproposée dansl’hypothèse d’un
lymphome ou d’une autre infection opportuniste curable
[12]
. Si le traitement
d’attaque a été couronné de succès, un traitement d’entretien doit être
poursuivi à vie. Une bithérapie, pyriméthamine-sulfadiazine, à doses plus
faibles, reste le traitement de choix, dans la mesure des effets secondaires
[62]
.
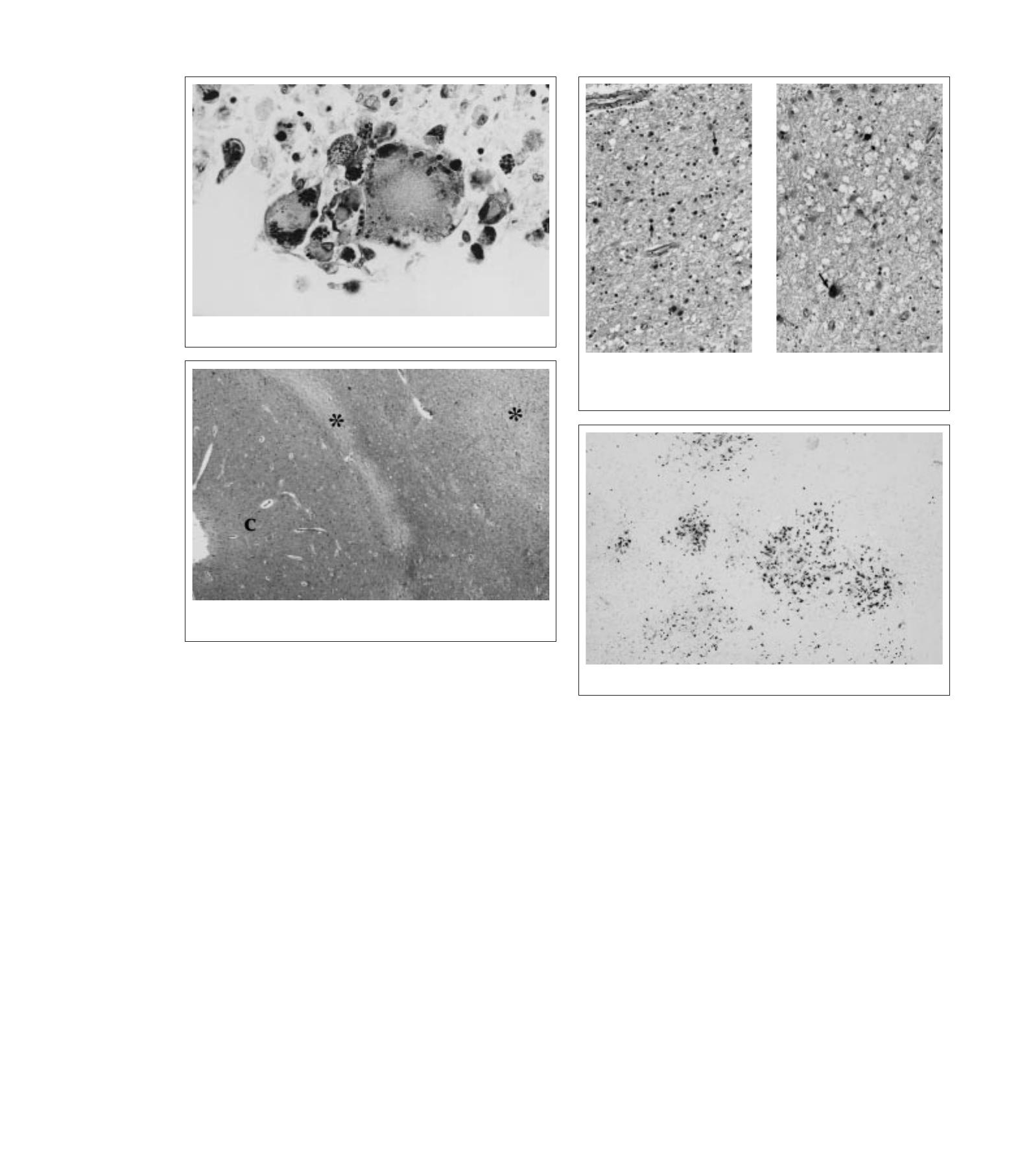
Les études autopsiques récentes montrent une nette régression des lésions
aiguës d’encéphalite toxoplasmique (moins de 8 % dans la série de
100 autopsies de Bicêtre), mais des séquelles d’abcès toxoplasmiques sont
fréquentes, associées à d’autres lésions, encéphalite VIH, autres infections
opportunistesoulymphome. Les lésions aiguës,retrouvées parfoislors d’une
biopsiestéréotaxique, sont des abcès nécrotiquescontenantdesmacrophages,
des polynucléaires altérés et, souvent, des hémorragies. Des kystes et des
trophozoïtes libres sont présents en périphérie des zones de nécrose (fig 7).
4Lésionsischémiqueschezunpatientatteintparlevirusdel’immunodéficiencehumaine.
Microangiopathieavecaspectfeuilletédescapillairesdubulbe(flèches).Coupeenparaffine
(hématéine-éosine, ×300).
5Microhématomes multi-
plesdanslecorpscalleuxetla
capsule interne.
MANIFESTATIONS NEUROLOGIQUES DU VIHNeurologie 17-051-B-10
page 3