UE4 Appareil respiratoire - HERVE
13/06/2016 10h45-12h45
Promo : 2016/2017 HERVE François
Ronéistes :
LAMY Pierre
MARBOIS Simon
TD1 Anatomie respiratoire
I) Les plevres (suite du cours)
1)Diagnostic pneumothorax
2) Application
II) Introduction au cas clinique
1) Présentation du cas
2) Elements importants
III) La respiration
1) Muscles respiratoires ( rappel)
2) Inspiration
3) Expiration
4) But de la respiration
IV) Analyse du cas clinique
1) L'interrogatoire de la mère
2) Les paramettres vitaux
3) L'examen physique
4) Quels éléments transmis dans ce cas clinique vous paraissent
importants ? (rappel)
5) Prise en charge médicale de Jonathan
Rectification du prof : le grand dorsal est un muscle inspirateur très très accessoire. Il ouvre la
cage thoracique dans sa face postérieur et participe de manière accessoire à l’inspiration
I) Les plevres (suite du cours)
Chaque poumon est recouvert d’une enveloppe à double feuillet : Une plèvre viscérale,
qui tel un drap humide vient recouvrir intimement la surface pulmonaire et, une plèvre
pariétale qui tapisse la face interne de la cage thoracique.A la partie inférieure de la plèvre, il
existe des récessus (cul de sac) pleuraux, potentiellement comblés par du liquide si
épanchement. On parle de récessus costo-médiastinal / costo-diaphragmatique.
Importance des culs de sac : espace borgne /impasse voie publique => liquide dans les
poumons dans l'espace entre les deux plèvres, il descend vers les bases, pas à l'horizontale
mais sur les deux angles du poumon en restant au fond du cul de sac à la verticale. C’est là
où on va aller chercher le liquide lors d’examen.
A l’état physiologique, l’espace entre les deux feuillets est virtuel et favorise le
glissement de l’un par rapport à l’autre. En pathologie, nous parlerons de pneumothorax, de
pleurésie (ép. Aérien versus liquidien) et d’hémothorax (ép. Sanguin), voire
d’hémopneumothorax.
Question du prof: qu’est-ce-que c’est un drain thorax?(drain ou cathéter = tuyau creux )
Un drain est un tuyau creux que l’on met entre les 2 feuillets de la plèvre. Le but serait de
faire une thoraco-stomie (-stomie =faire une ouverture/de découper & -ectomie=
retirer).Cette procédure ne nécessite pas forcément un bloc mais cela reste quand même un
soin aseptique et stérile. (Une plèvre c’est innervé). Cette intervention nécessite une
anesthésie de surface / locale. On donne au patient du -MEOPA= Mélange Equimolaire
Oxygène et de Protoxyde Azote ,c’est un gaz hilarant qui permet de faire une anesthésie de
surface et il faut qu’il soit -perfusé et peut aussi avoir de la -morphine s’il est douloureux
initialement et scopé car sous morphine + -analgésique locale
==> co-anesthésie = 4 analgésiques
Ce drain est posé soit en antérieur soit au niveau du 3eEIC ou 5eEIC(si pose de plusieurs
jours)
1) Diagnostic pneumothorax
Examen clinique : signe du 33 si les poumons sont décollés, on n’entendra pas les
vibrations des champs pulmonaires.
Auscultation, pareil, d’un côté on entends bien la respiration de l’autre non.
Examen complémentaire :
L'Echographie Trans thoracique et la radiographie thoracique sont les 2 examens de
références pour faire le diagnostic de l’épanchement pleurale.
Question pour la culture général:est ce que l’on peut voir un pneumothorax en
échographie ? oui car c’est artéfacté. En effet, l’air ça ne passe pas bien le signal
échographique et cela entraine des artéfacts et c’est justement le fait qu’il y ait de l’air et
donc des artéfacts qu’on se dit que c’est pas normal d’avoir de l’air entre le poumon et notre
sonde parce qu’on devrait avoir peau-espace lipide-cote.
Cependant pour l'échographie : l'échographie pénètre dans les tissus pleins (ex : bébé
visible car composé de tissus pleins) alors que dans l’air libre on ne voit rien (blanc).
Lorsque l'on envoie du son contre une paroi, selon densité le son revient plus ou moins fort
(ex : Tissus mous, le son revient très lentement et faible). De plus, le son ne reviendra pas
contre de l’air, parce que l’air ne le retient pas. Dans le pneumothorax c’est justement le fait
de ne rien voir que l’on peut faire le diagnostic => Si on fait une échographie sur le thorax :
espace grisé qui coulisse (marée), ça passe de gris à blanc : glissement des deux feuillets. Si
tout est noir = anormale = pneumothorax.
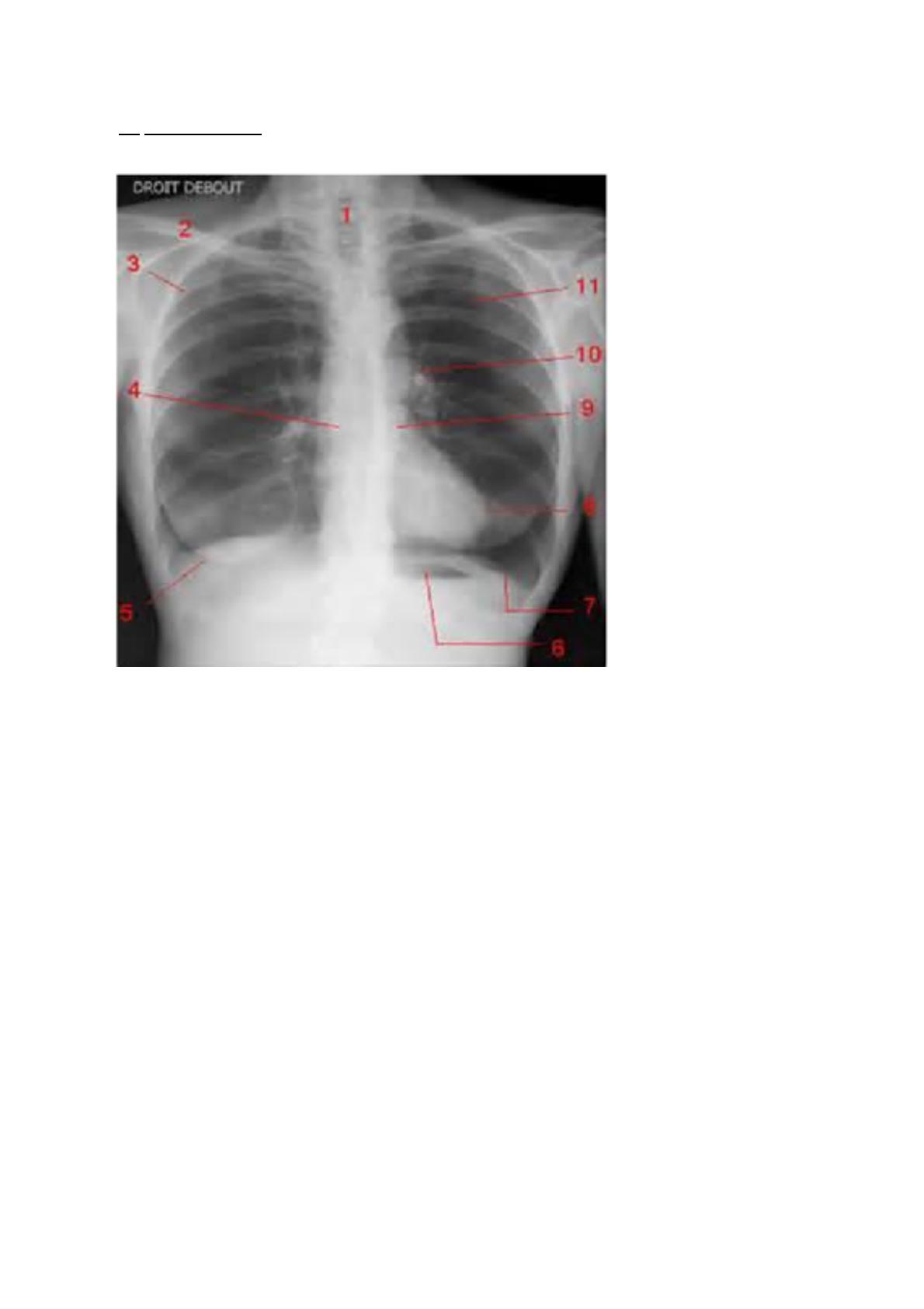
2) Application
1) Trachée
2) Clavicule droite
3) Cote
4) On voit mieux les corps vertébraux que le sternum à cause de leurs densités. Ici ce
n'est pas le sternum mais un organe : le coeur avec son oreillette droite.
5) Glande mammaire (sein dense donc femme jeune)
6) Estomac, avec sa poche à air gastrique sous coupole diaphragmatique gauche => ce
qui permet de dire qu’elle était debout.
7) Coupole diaphragmatique gauche
8) Cœur ventricule gauche
9) Artère pulmonaire
10)Aorte, si calcifiée : athérome formant une grosse boule blanche (à la radio) au niveau
de la crosse.
11) Champs pulmonaire ou bord interne de la scapula : ligne blanche à la verticale (d’où
la position lors d’une radio pour dégager les scapulas latéralement).
Pour analyser d’une radio, on regarde d’abord le contenant (cage thoracique :
sternum,cote,vertèbre) d’abord puis le contenu (poumons cœur)
- Contenant : sternum dans l’axe, fracture de cote (5), vertèbre avec une inclinaison gauche
donc pas debout, de plus pas de poche à air et patient intubé (deux traits blancs parallèles en
forme de biseau à la fin au niveau de la trachée) donc surement patient dans un coma
artificiel, allongé.
-Contenu : poumon gauche grisé avec des taches blanches = normal / le noir à droite sans
cloison pulmonaire = que de l’air : pneumothorax si important que le médiastin est refoulé à
gauche (= pneumothorax complet compressive refoulant le médiastin) / début de drain
pleurale mis pour diminuer le pneumothorax/ les fils blancs un peu partout, électrode du
scope sur la peau/ cœur comprimé par le pneumothorax.
Conclusion de la radio : fracture multi-focale thoracique droit avec pneumothorax compressif
refoulant le médiastin chez un patient intubé.
1 / 17 100%
La catégorie de ce document est-elle correcte?
Merci pour votre participation!

Faire une suggestion

Avez-vous trouvé des erreurs dans l'interface ou les textes ? Ou savez-vous comment améliorer l'interface utilisateur de StudyLib ? N'hésitez pas à envoyer vos suggestions. C'est très important pour nous!