Pneumonie communautaire (acquise en dehors de l`Hôpital)

CURRICULUM Forum Med Suisse No44 29 octobre 2003 1052
Un article sur la pneumonie pourrait se résu-
mer en une seule phrase: en cas de toux aiguë,
on prescrit la toute dernière fluoroquinolone.
Mais ce n’est pas si simple.
Nous observons depuis quelques années une
progression épidémique de Streptococcus
pneumoniae résistant aux antibiotiques [1].
La fréquence des souches ayant une sensibilité
diminuée à l’égard des pénicillines oscille entre
24% aux Etats-Unis et 70% en Corée. La fré-
quence des germes totalement résistants dans
ces pays est de 14% et 33% respectivement. En
Suisse, 12% des S. pneumoniae sont moyenne-
ment sensibles et 4% totalement résistants.
Pratiquement la moitié de ces germes présente
une multirésistance.
Il est prouvé qu’une antibiothérapie est le fac-
teur de risque le plus important de l’apparition
de S. pneumoniae résistant aux antibiotiques.
Ce qui a pu être démontré de manière particu-
lièrement frappante pour les macrolides [2] et
les fluoroquinolones [3], car entre un et deux
ans après leur introduction sur le marché, et
en corrélation avec la fréquence de leur pres-
cription, la fréquence des résistances à ces
antibiotiques a augmenté.
Un autre fait est que la plupart des prescrip-
tions d’antibiotiques en ambulatoire sont rédi-
gées pour des infections respiratoires. Dans
une étude aux Etats-Unis, ces dernières ont
totalisé 75% de toutes les prescriptions d’anti-
biotiques par année [4]. Environ 76 millions
d’Américains, soit un tiers de la population
totale, consultent chaque année leurs médecins
traitants en raison d’une infection respiratoire
aiguë. Très peu ont une pneumonie ou une
infection à bactéries. Malgré tout, plus de la
moitié a reçu des antibiotiques. Nous pouvons
estimer modestement que 55% environ de ces
prescriptions n’étaient pas indiquées, et que
les coûts inutiles se sont montés à 726 millions
d’USD [5].
La conséquence de ces réflexions serait que
les antibiotiques doivent être utilisés de la
manière la plus ciblée possible, et uniquement
sur indication certaine. Ce qui exige d’une part
un diagnostic bien posé, et de l’autre une
certaine discipline, pour renoncer à une anti-
biothérapie en l’absence d’indication. Une
argumentation fréquente est que cela est sou-
vent difficile en pratique, vu que de nombreux
patients attendent une prescription d’antibio-
tiques à la moindre toux. Mais une étude a
montré que dans une telle situation, la satis-
faction des patients n’est pas due au fait qu’ils
ont reçu ou non des antibiotiques, mais au fait
que le médecin a pris suffisamment de temps
pour que ses patients puissent comprendre sa
décision [6].
Classification pratique
des infections aiguës des voies
respiratoires
Pour une utilisation rationnelle des antibio-
tiques, il est capital de s’en tenir aux définitions
relativement précises de chacune des patho-
logies, et acceptées par les plus importantes
sociétés de spécialistes américaines [7]. Comme
M. Rothen l’explique dans son article, il s’agit
de l’infection aspécifique des voies respira-
toires hautes, de la rhinosinusite aiguë, de la
pharyngo-amygdalite aiguë et de la bronchite
aiguë. Dans toutes ces maladies, les anti-
biotiques ne sont pas indiqués, exception faite
de la pharyngo-amygdalite à streptocoques.
Il faut distinguer de la bronchite aiguë l’exacer-
bation de la broncho-pneumopathie chronique
obstructive. Il est admis que la moitié environ
de ces exacerbations sont le fait d’une infection
bactérienne. 9 études et une méta-analyse ont
montré qu’une antibiothérapie présente un
certain intérêt, en plus des stéroïdes et des
bronchodilatateurs [8], surtout si les trois
symptômes typiques (dyspnée progressive,
expectorations de plus en plus abondantes et
purulentes) sont présents.
Une pneumonie est définie par la présence des
symptômes d’une infection respiratoire aiguë
et d’un foyer clinique et/ou radiologique. En ce
qui concerne le spectre bactériologique, le
diagnostic et le traitement, il faut faire la dis-
tinction entre la pneumonie communautaire
(«community acquired») et la pneumonie noso-
comiale. Il faut également tenir compte des
défenses immunitaires perturbées et de cir-
constances particulières. Le terme de «pneu-
monie atypique» ne doit plus être utilisé, car
historiquement il se rapporte à la pneumonie à
mycoplasme, et il est actuellement prouvé que
les éléments cliniques, de laboratoire et radio-
logiques (figure 1) ne permettent pas de faire la
Pneumonie communautaire
(acquise en dehors de l’hôpital)
Rudolf Speich
Correspondance:
Pr Rudolf Speich
Service de Médecine A
Hôpital universitaire
CH-8091 Zurich
CURRICULUM Forum Med Suisse No44 29 octobre 2003 1053
distinction entre pneumonies à pathogènes
classiques ou «atypiques».
Etiologie de la pneumonie
communautaire
La cause d’une pneumonie communautaire
est extrêmement rarement citée. Un pathogène
ne peut être découvert que par des examens
approfondis et seulement dans la moitié des
cas environ [9]. Dans 50% de ces cas, il s’agit
de S. pneumoniae. Ce pathogène est également
le principal responsable de la mortalité des
pneumonies. Ce qui veut dire que tout traite-
ment antibiotique doit être 100% efficace
contre ce germe. Le deuxième pathogène, sur-
tout chez les jeunes gens, est Mycoplasma
pneumoniae (environ 15%), viennent ensuite
les virus (influenza, parainfluenza, adénovirus,
et autres), Chlamydia pneumoniae et Haemo-
philus influenzae. Plusieurs pathogènes sont
impliqués dans quelque 10% des cas. La sur-
infection par S. pneumoniae ou Staphylococcus
aureus est bien connue après une grippe. Les
légionelles sont plutôt rares chez nous, mais il
faut y penser chez les personnes rentrant de
voyages (Méditerranée, cures balnéaires).
Le spectre des pathogènes dans les différents
déficits immunitaires ne peut être abordé ici.
Une infection VIH doit toujours être envisagée,
vu qu’aux Etats-Unis par exemple, plus de 10%
des patients hospitalisés pour une pneumonie
sont VIH positifs [10]. En plus du fait que la
manifestation de plus d’une pneumonie par an
est une situation définissant le SIDA, il faut
penser dans un tel cas à une pneumonie à Pneu-
mocystis, Pseudomonas aeruginosa et autres
pathogènes plutôt rares, sans oublier la tuber-
culose.
Diagnostic de la pneumonie
communautaire
Le diagnostic de pneumonie n’est pas compli-
qué. Il se pose en présence des symptômes
d’une infection respiratoire aiguë (fièvre, toux,
expectorations) et d’un infiltrat pulmonaire.
Bien que ce dernier puisse être diagnostiqué
cliniquement, la plupart des auteurs et toutes
les recommandations publiées exigent une
radiographie du thorax [11, 12]. Mais il faut
bien préciser qu’en cas de présentation très
aiguë, la radiographie peut être encore normale
au début.
Le grand problème est le diagnostic différentiel
de la pneumonie et de la bronchite aiguë, à
savoir la question de quand effectuer une
radiographie.
Une revue de plusieurs études a montré
qu’avec une température <38 °C, des signes
vitaux normaux (fréquence cardiaque <100/mi-
nute, fréquence respiratoire <24/minute) et un
examen clinique pulmonaire normal, il est
possible de se passer de la radiographie du
thorax [13].
Une formule sanguine avec une leucocytose
>15000/µl ou une neutrophilie >8000/µl et une
CRP >100 mg/l parlent pour une pneumonie,
mais la CRP peut être normale 24 heures après
le début d’une évolution fulgurante. Une leuco-
pénie parle en faveur d’une pneumonie grave.
Comme d’autres l’ont déjà précisé [14], les
examens des expectorations n’ont aucun sens,
sauf à la recherche de pneumocystis ou d’une
tuberculose, et pour les tests de résistance en
cas de suspicion d’infection à P. aeruginosa
(VIH, mucoviscidose). Les hémocultures ne sont
nécessaires que chez les patients devant être
hospitalisés et les porteurs de valves car-
diaques artificielles, les sérologies ne sont pas
très utiles, sauf pour la recherche des antigènes
de légionelles dans une pneumonie grave. Les
examens par réaction en chaîne de poly-
mérases ne se sont pas encore établis.
Traitement de la pneumonie
communautaire
Chez des patients ambulatoires sans maladies
cardiopulmonaires et sans autres facteurs de
risque, les derniers macrolides sont de pre-
mière intention [12]. L’érythromycine et la
roxithromycine (Rulid®) ne doivent pas être
administrés en raison de la faible sensibilité de
H. influenzae. En cas d’intolérance à ces
macrolides, c’est une tétracycline qui est re-
commandée. Mais il ne faut pas oublier qu’en-
viron 10% des pneumocoques sont résistants in
vitro aux macrolides et aux tétracyclines [15],
ce qui semble toutefois n’avoir pratiquement
aucune importance in vivo [16]. Mais en l’ab-
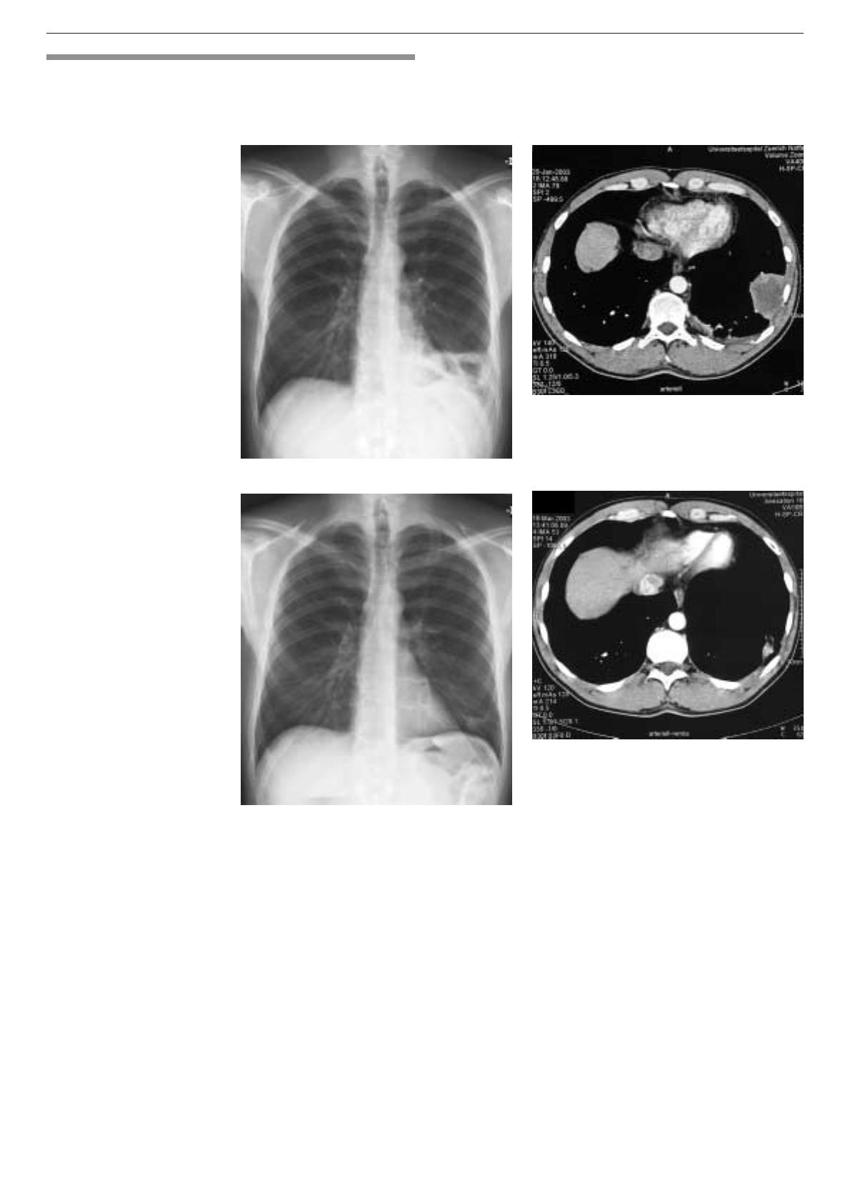
Figure 1.
Patiente de 27 ans ayant
une pneumonie lobaire bilatérale
étendue, une leucocytose à
19000/µl, une CRP à 180 mg/l et
une pneumonie à mycoplasmes
confirmée par réaction en chaîne
de polymérases.
CURRICULUM Forum Med Suisse No44 29 octobre 2003 1054
sence d’amélioration clinique en l’espace de
48 heures, il faut passer à un bêtalactame.
La raison de ne pas utiliser les dernières fluo-
roquinolones, qui semblent à première vue
idéales, comme dit en introduction, est d’éviter
leur surconsommation inutile avec risque
d’apparition de résistances à l’égard de ces
précieux antibiotiques.
Chez les patients souffrant de maladies cardio-
pulmonaires (BPCO, insuffisance cardiaque
gauche) ou d’autres maladies de base, en plus
des pathogènes classiques de la pneumonie, il
y a aussi des Gram négatifs, anaérobes et
Moraxella catarrhalis qui entrent en ligne de
compte. C’est pourquoi un traitement combiné
est recommandé d’emblée, avec un bêta-
lactame et un nouveau macrolide. Le recours
aux nouvelles fluoroquinolones serait dans
ce cas défendable.
Dans une pneumonie imposant une hospita-
lisation, un bêtalactame intraveineux en asso-
ciation à un macrolide ou à une tétracycline
est recommandé. Il n’est pas prouvé qu’une
administration par voie intraveineuse soit in-
dispensable au début. Une grande étude chez
plus de 500 patients souffrant de pneumonies
en partie graves, mais n’ayant pas besoin de
soins intensifs, n’a montré aucun désavantage
d’un traitement oral par amoxicilline/acide
clavulanique par rapport à deux régimes avec
administration par voie intraveineuse et en-
suite orale, mais a par contre fait ressortir une
durée et des coûts d’hospitalisation nettement
inférieurs [17].
Si le traitement est mis en route par voie intra-
veineuse, il est possible de passer ensuite à la
voie orale si les critères suivants sont satisfaits
depuis 12 heures: fréquence respiratoire
<24/min, pulsations <100/min et température
<38 °C.
La durée nécessaire de l’antibiothérapie pour
une pneumonie communautaire n’a pas été
étudiée. Les experts disent 7 jours en ambula-
toire et 10 jours pour un traitement mis en
route à l’hôpital. Avec l’azithromycine, 3 jours
suffisent en ambulatoire. 14 jours sont recom-
mandés dans la légionellose prouvée.
Pronostic et décision
d’hospitalisation
La question de savoir si et quand hospitaliser
un patient souffrant de pneumonie est impor-
tante. Cette décision peut être prise en fonc-
tion des indicateurs empiriques de pneumonie
grave. Il existe un score sophistiqué et validé
prospectivement [18], mais qui à mon avis est
trop compliqué en pratique, et la gazométrie
sanguine qu’il exige n’est pas toujours à portée
de main. La synthèse de toutes les publications
serait la proposition d’hospitalisation en pré-
sence de deux au moins des points suivants:
âge >60 ans, maladies sous-jacentes, état
confusionnel, tachypnée >30/min, tachycardie
>125/min, hypotension <100 mm Hg, hypo-
thermie <35 °C, leucopénie <4000/µl, infiltrats
multilobaires.
Pneumonie ne guérissant pas
L’évolution radiologique d’une pneumonie est
plus lente que communément admis. Plus du
tiers des patients de moins de 50 ans en bonne
santé présentent encore des infiltrats après
4 semaines, ainsi que les trois quarts de ceux
de plus de 50 ans ayant une maladie de base.
En général, une régression de l’infiltrat radio-
logique de moins de 50% après 2 semaines, ou
la persistance de résidus nets après 4 semaines
Tableau 1. Antibiothérapie de la pneumonie communautaire.
Ambulatoire, aucun facteur de risque
Nouveau macrolide azithromycine (Zithromax®), clarithromycine (Klacid®)
Ambulatoire, maladie cardiopulmonaire ou facteur de risque
Bêtalactame céfuroxime (Zinat®), cefpodoxime (Orelox®)
amoxicilline/acide clavulanique (Augmentin®)
et nouveau macrolide ou tétracycline
ou nouvelle fluoroquinolone moxifloxacine (Avalox®), lévofloxacine (Tavanic®)
Traitement hospitalier (n’exigeant pas les SI)
Bêtalactame i.v. ceftriaxone (Rocephin®)
amoxicilline/acide clavulanique (Augmentin®)
et nouveau macrolide ou tétracycline i.v. ou p.o.
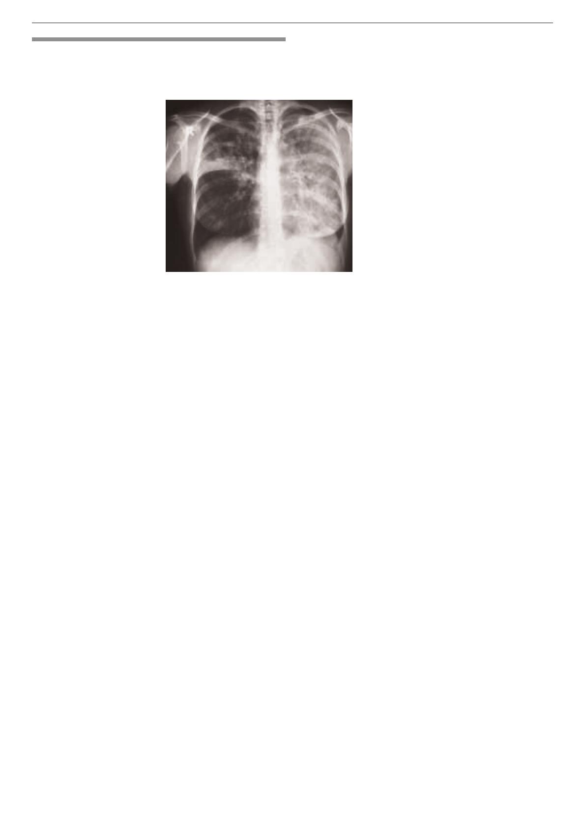
Figure 2.
Patiente ayant une «pneumonie»
subaiguë sans amélioration sous
antibiotiques. Formule sanguine
normale, mais 38% d’éosinophiles
au lavage bronchiolo-alvéolaire.
Amélioration rapide de cette
pneumonie à éosinophiles sous
stéroïdes.
CURRICULUM Forum Med Suisse No44 29 octobre 2003 1055
est considérée comme une pneumonie à évolu-
tion lente.
Entrent dans le diagnostic différentiel des pa-
thogènes non suspectés (tuberculose, pneumo-
cystis, nocardies, etc.), des germes résistants,
une faiblesse immunitaire, des complications
de la pneumonie (empyème, abcès, endo-
cardite), des pneumopathies sous-jacentes
(bronchiectasies, séquestre), des corps étran-
gers, un carcinome bronchique, une embolie
pulmonaire, une insuffisance cardiaque, des
pneumopathies médicamenteuses ou exogènes-
allergiques, une pneumonie à éosinophiles
(figure 2), une pneumonie par bronchiolite
oblitérante-organisante (BOOP), une maladie
de Wegener, un syndrome du Churg-Strauss
ou une hémorragie alvéolaire, pour ne citer
que les plus importantes.
Epanchement parapneumonique
et abcès pulmonaire
S’il n’y a aucune amélioration après une se-
maine, il faut penser à une complication d’une
pneumonie. S’il y a un épanchement pleural
notable, il faut le ponctionner. Si son pH est
<7,20, s’il contient des bactéries ou s’il s’agit
macroscopiquement d’un empyème, il faut
mettre en place un drain thoracique et injecter
de la streptokinase par voie intrapleurale si
l’épanchement n’a pas pu être totalement
drainé. Et en cas d’échec, il faut envisager
rapidement un traitement par thoracoscopie.
Un abcès pulmonaire guérit dans pratiquement
tous les cas après une antibiothérapie de longue
durée, parfois de plusieurs mois (figure 3).
ab
cd
Figure 3.
Patient ayant un abcès
pulmonaire à la base gauche.
Guérison pratiquement totale
après 8 semaines d’antibio-
thérapie par amoxicilline/acide
clavulanique.
CURRICULUM Forum Med Suisse No44 29 octobre 2003 1056
Ce n’est que dans des situations exception-
nelles, par exemple en cas d’hémoptysie ou de
perforation dans la cavité pleurale qu’une in-
tervention chirurgicale est nécessaire.
Prévention de la pneumonie
Le moyen le plus efficace de lutter contre la
morbidité et la mortalité de la pneumonie est
la vaccination annuelle contre la grippe et la
vaccination antipneumococcique avec rappel
après 5 ans. Ces deux vaccinations sont indi-
quées chez des personnes de >65 ans, chez les
patients souffrant de maladie cardiaques ou
pulmonaires chroniques, de diabète, d’insuffi-
sance rénale et d’immunosuppression. Le vac-
cin antigrippe est de plus indiqué chez les pen-
sionnaires de homes, pour le personnel soi-
gnant, les médecins, et après contact avec des
personnes à risque. Le vaccin antipneumococ-
cique est en outre indiqué en cas d’asplénie
fonctionnelle ou anatomique, dans l’alcoolisme
chronique, la cirrhose, le syndrome néphro-
tique et les malignomes.
(Traduction Dr Georges-André Berger)
Quintessence
Le diagnostic de pneumonie est facile (symptômes d’une infection aiguë
des voies respiratoires et mise en évidence d’un infiltrat pulmonaire).
Très peu de patients ayant une infection respiratoire ont une pneumonie.
La distinction entre infection aspécifique des voies respiratoires hautes
et bronchite aiguë est déterminante pour un recours critique aux anti-
biotiques.
Le tout nouvel antibiotique ayant le spectre d’action le plus large n’est pas
toujours le meilleur, dans le concept global.
La prévention de la pneumonie par vaccination contre la grippe et
les pneumocoques a une très grande importance en politique sanitaire.
Références
1 Whitney CG, Farley MM, Hadler J,
Harrison LH, Lexau C, Reingold A,
et al. Increasing prevalence of
multidrug-resistant Streptococcus
pneumoniae in the United States. N
Engl J Med 2000;43:1917–24.
2 Hyde TB, Gay K, Stephens DS,
Vugia DJ, Pass M, Johnson S, Bar-
rett NL, et al. Macrolide resistance
among invasive Streptococcus
pneumoniae isolates. Jama 2001;
286:1857–62.
3 Chen DK, McGeer A, de Azavedo JC,
Low DE. Decreased susceptibility
of Streptococcus pneumoniae to
fluoroquinolones in Canada. Cana-
dian Bacterial Surveillance Net-
work. N Engl J Med 1999;341:233–
9.
4 McCaig LF, Hughes JM. Trends in
antimicrobial drug prescribing
among office-based physicians in
the United States. Jama 1995;273:
214–9.
5 Gonzales R, Malone DC, Maselli JH,
Sande MA. Excessive antibiotic use
for acute respiratory infections in
the United States. Clin Infect Dis
2001;33:757–62.
6 Hamm RM, Hicks RJ, Bemben DA.
Antibiotics and respiratory infec-
tions: are patients more satisfied
when expectations are met? J Fam
Pract 1996;43:56–62.
7 Gonzales R, Bartlett JG, Besser RE,
Cooper RJ, Hickner JM, Hoffman
JR, et al. Principles of appropriate
antibiotic use for treatment of acute
respiratory tract infections in
adults: background, specific aims,
and methods, and clinical practice
guidelines (9 articles). Ann Intern
Med 2001;134:479–530.
8 Saint S, Bent S, Vittinghoff E, Grady
D. Antibiotics in chronic obstructive
pulmonary disease exacerbations.
A meta-analysis. Jama 1995;273:
957–60.
9 Bochud PY, Moser F, Erard P,
Verdon F, Studer JP, Villard G, et al.
Community-acquired pneumonia.
A prospective outpatient study.
Medicine (Baltimore) 2001;80:75–
87.
10 Janssen RS, St. Louis ME, Satten
GA, Critchley SE, Petersen LR, Staf-
ford RS, et al. HIV infection among
patients in U.S. acute care hos-
pitals. Strategies for counseling and
testing of hospital patients. N Engl
J Med 1992;327:445–52.
11 Bartlett JG, Dowell SF, Mandell LA,
File Jr TM, Musher DM, Fine MJ.
Practice guidelines for the manage-
ment of community-acquired pneu-
monia in adults. Infectious Diseases
Society of America. Clin Infect Dis
2000;31:347–82.
12 Niederman MS, Mandell LA,
Anzueto A, Bass JB, Broughton WA,
Campbell GD, et al. Guidelines for
the management of adults with
community-acquired pneumonia.
Diagnosis, assessment of severity,
antimicrobial therapy, and preven-
tion. Am J Respir Crit Care Med
2001;163:1730–54.
13 Metlay JP, Kapoor WN, Fine MJ.
Does this patient have community-
acquired pneumonia? Diagnosing
pneumonia by history and physical
examination. Jama 1997;278:
1440–5.
14 Speich R, Ruef C, Russi EW. Ab-
klärung und Therapie der ausser-
halb des Spitals erborbenen Pneu-
monie. Schweiz Med Wschr 1993;
123:1846–56.
15 Zbinden R, Pfyffer GE, Wüst J. Die
Empfindlichkeit von Bakterien
gegen Antibiotika (Zürich, 2000)].
Schweiz Rundsch Med Prax 2001;
90:2205–16.
16 Amsden GW. Pneumococcal macro-
lide resistance – myth or reality?
J Antimicrob Chemother 1999;44:
1–6.
17 Chan R, Hemeryck L, O’Regan M,
Clancy L, Feely J. Oral versus intra-
venous antibiotics for community
acquired lower respiratory tract in-
fection in a general hospital: open,
randomised controlled trial. BMJ
1995;310:1360–2.
18 Fine MJ, Auble TE, Yealy DM,
Hanusa BH, Weissfeld LA, Singer
DE, et al. A prediction rule to iden-
tify low-risk patients with commu-
nity-acquired pneumonia. N Engl J
Med 1997;336:243–50.
1 / 5 100%
La catégorie de ce document est-elle correcte?
Merci pour votre participation!

Faire une suggestion

Avez-vous trouvé des erreurs dans l'interface ou les textes ? Ou savez-vous comment améliorer l'interface utilisateur de StudyLib ? N'hésitez pas à envoyer vos suggestions. C'est très important pour nous!