Toxicité neurologique centrale des
traitements anti-cancéreux
Damien RICARD
service de neurologie HIA du Val-de-Grâce (Paris)
Journées internationales de la SFN 6-7 octobre 2011
Situations cliniques Agent toxique Complications
Rayons X, γ, Protons
Rayons X
+
Polychimiothérapie
Chimiothérapies
Leucopathie
Radionécroses précoces
SMART
Tbles cognitifs transitoires
Radionécrose focale
Leucopathie
Prises de contraste
Encéphalopathie réversible postérieure
Chemobrain?
1
3
2
Syndrome de somnolence
trouble cognitif transitoire
De 1 à 3 mois après RT, 36% 50-54 Gy
Somnolence > 20h/j
Réversible en qq semaines ± corticoïdes
Formes mineures chez l’adulte:
Defect de l’attention
Déficit mnésique antérograde transitoire
Empêche la reprise d’une vie normale
1
Créange et al., Rev Neurol, 1994
Faithful et al., Clin Oncol 1998
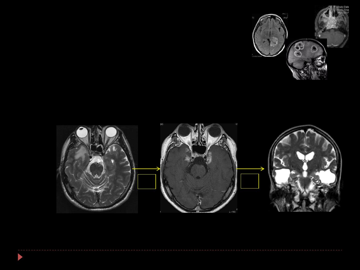
Début : 1-3 ans (80% cas)
Incidence : 5-15%
Asymptomatique le plus souvent
Hypersignal SB Prise de contraste
Nécrose Kyste
+/- +/-
Radionécrose focale
1
Bevacizumab ?
Chirurgie
Corticoïdes
Anticoagulants
Oxygénothérapie hyperbare
Autres…
1
Radionécrose focale
1 / 24 100%
La catégorie de ce document est-elle correcte?
Merci pour votre participation!

Faire une suggestion

Avez-vous trouvé des erreurs dans l'interface ou les textes ? Ou savez-vous comment améliorer l'interface utilisateur de StudyLib ? N'hésitez pas à envoyer vos suggestions. C'est très important pour nous!