Particularités des infections ostéoarticulaires tuberculeuses

Telechargé par Claude Bessan
Revue
du
rhumatisme
monographies
89
(2022)
90–96
Disponible
en
ligne
sur
ScienceDirect
www.sciencedirect.com
Particularités
des
infections
ostéo-articulaires
tuberculeuses
Particularities
of
tuberculous
osteoarticular
infections
Erick
Legrand,
Emmanuel
Hoppé
,
Iden
Al
Sabty
,
Nicolas
Rosine
,
Béatrice
Bouvard
Service
de
rhumatologie,
CHU
d’Angers,
49033
Angers
cedex
01,
France
i
n
f
o
a
r
t
i
c
l
e
Historique
de
l’article
:
Accepté
le
27
janvier
2022
Disponible
sur
Internet
le
4
fevrier
2022
Mots
clés
:
Tuberculose
Ostéite
Arthrite
chronique
Spondylodiscite
Mal
de
Pott
r
é
s
u
m
é
La
tuberculose
osseuse,
articulaire
ou
rachidienne
est
rare
(200
à
300
cas
par
an
en
France)
mais
ne
sau-
rait
être
oubliée,
en
particulier
devant
une
infection
ostéo-articulaire
à
bactériologie
initiale
négative,
chez
les
patients
étrangers,
immunodéprimés,
sans
domicile
fixe,
détenus
ou
vivant
dans
des
conditions
précaires.
L’atteinte
osseuse
destructrice
de
la
tuberculose
peut
simuler
une
pathologie
tumorale,
souli-
gnant
l’importance
d’une
analyse
histologique
de
qualité,
devant
une
image
lytique
uni
ou
multifocale.
La
monoarthrite
tuberculeuse,
subaiguë
ou
chronique,
ressemble
au
début
d’un
rhumatisme
inflamma-
toire,
justifiant
la
réalisation,
au
moindre
doute
d’une
biopsie
synoviale.
La
possibilité
de
réaliser
une
PCR,
à
partir
des
prélèvements
osseux,
articulaires
ou
rachidiens,
permet
de
gagner
du
temps
pour
la
mise
en
route
d’une
antibiothérapie
complexe,
efficace
mais
source
d’effets
indésirables
potentiellement
graves.
Un
suivi
méthodique,
rapproché,
clinique,
radiographique
et
biologique
est
indispensable
pour
accompagner
le
patient
pendant
6
à
9
mois.
©
2022
Publi´
e
par
Elsevier
Masson
SAS
au
nom
de
Soci´
et´
e
Franc¸
aise
de
Rhumatologie.
Keywords:
Tuberculosis
Osteitis
Chronic
arthritis
Spondylodiscitis
a
b
s
t
r
a
c
t
Bone,
articular
or
spinal
tuberculosis
is
rare
(200
to
300
cases
per
year
in
France)
but
should
not
be
for-
gotten,
in
particular
in
patients
with
an
osteoarticular
infection,
with
negative
initial
bacteriology.
The
risk
of
tuberculosis
is
higher
in
foreign
patients,
immunosuppressed,
homeless,
prisoners
or
people
living
in
precarious
conditions.
The
destructive
bone
involvement
of
tuberculosis
can
mimic
tumor
pathology,
emphasizing
the
importance
of
quality
histological
analysis,
in
front
of
a
solid
or
multifocal
lytic
image.
Tuberculous
monoarthritis,
subacute
or
chronic,
looks
like
the
onset
of
inflammatory
rheumatism,
jus-
tifying
the
performance,
in
the
slightest
doubt,
of
a
synovial
biopsy.
The
possibility
of
performing
a
PCR,
from
bone,
joint
or
spinal
samples,
saves
time
for
the
initiation
of
a
complex
antibiotic
therapy,
which
is
effective
but
source
of
potentially
serious
side
effects.
Methodical,
close,
clinical,
radiographic
and
biological
monitoring
is
essential
to
support
the
patient
for
6
to
9
months.
©
2022
Published
by
Elsevier
Masson
SAS
on
behalf
of
Soci´
et´
e
Franc¸
aise
de
Rhumatologie.
La
tuberculose,
maladie
infectieuse
provoquée
par
Mycobac-
terium
tuberculosis
complex,
peut
être
responsable
d’atteintes
osseuses,
articulaires,
périarticulaires,
musculaires
et
disco-
vertébrales.
La
spondylodiscite
tuberculeuse
est
encore
appelée
mal
de
Pott.
Au
cours
de
cet
article,
nous
ne
cherchons
pas
à
écrire
une
revue
exhaustive
de
la
tuberculose
ostéo-articulaire
qui
pourrait
occuper
une
Monographie
entière
de
la
Revue
mais
à
décrire
les
arguments
en
faveur
d’une
infection
ostéo-articulaire
Auteur
correspondant.
Adresse
e-mail
:
(E.
Legrand).
tuberculeuse
et
les
particularités
de
sa
prise
en
charge,
dans
une
logique
comparative,
par
rapport
aux
infections
ostéo-articulaires
à
germe
banal,
infiniment
plus
fréquentes
en
France.
1.
Particularités
épidémiologiques
1.1.
La
tuberculose
est
fréquente
dans
le
monde
mais
plus
rare
en
France
Selon
l’OMS,
la
tuberculose
figure
parmi
les
10
premières
causes
de
décès
dans
le
monde,
avec
10
millions
de
personnes
infectées
en
2017
et
environ
1,4
millions
de
décès
chaque
année
[1].
La
https://doi.org/10.1016/j.monrhu.2022.01.005
1878-6227/©
2022
Publi´
e
par
Elsevier
Masson
SAS
au
nom
de
Soci´
et´
e
Franc¸
aise
de
Rhumatologie.
E.
Legrand
et
al.
Revue
du
rhumatisme
monographies
89
(2022)
90–96
situation
en
France
est
bien
différente
avec
une
diminution
régu-
lière
du
nombre
de
cas
entre
1972
(environ
30
000
cas)
et
2015
(4741
cas)
avec
de
fac¸
on
générale
moins
de
6
000
cas
par
an,
depuis
l’année
2004
[2].
Ce
chiffre,
en
apparence
rassurant,
masque
la
réa-
lité
épidémiologique
qui
comporte
des
zones
géographiques
et
des
populations
à
faible
risque
et
des
territoires
et
des
groupes
humains
fortement
exposés
à
cette
maladie.
Chez
les
adultes,
on
observe
de
grandes
disparités
régionales.
Si
l’incidence
est
globalement
inférieure
à
10/100
000
habitants
sur
l’ensemble
du
territoire
franc¸
ais,
elle
grimpe
à
11,5/100
000
à
Mayotte,
16,1/100
000
en
Ile
de
France
et
25,7/100
000
en
Guyane.
En
métropole,
le
département
le
plus
touché
en
2018
est
la
Seine-
Saint-Denis,
avec
une
incidence
de
23,6/100
000
[2].
On
observe
aussi
de
grandes
disparités
en
fonction
de
la
région
d’origine
des
habitants
:
66
%
des
malades
déclarés
en
2018
sont
nés
à
l’étranger.
Les
taux
de
déclaration
les
plus
importants
concernent
les
indi-
vidus
originaires
d’Afrique
subsaharienne
avec
une
incidence
de
150/100
000,
soit
15
fois
plus
que
l’incidence
nationale.
Cette
inci-
dence
atteint
312/100
000
chez
les
habitants
arrivés
en
France
depuis
moins
de
deux
ans.
On
observe
également
de
grandes
dispa-
rités
sociales
avec
une
incidence
accrue
dans
toutes
les
situations
de
promiscuité
et
d’insalubrité
:
l’incidence
est
ainsi
estimée
à
76/100
000
chez
les
personnes
détenues
dans
les
prisons
et
à
249/100
000
chez
les
personnes
sans
domicile
fixe
(SDF)
[3].
Enfin
la
tuberculose
est
plus
fréquente
chez
les
individus
immuno-déprimés
[4]
en
particulier
les
patients
HIV
non
traités,
les
transplantés
d’organe
sous
immunosuppresseurs,
les
patients
traités
par
des
biomédicaments
anti
TNF
alpha,
de
l’abatacept
ou
des
anticorps
anti
IL-6
pour
une
maladie
inflammatoire
chronique
:
le
risque
est
multiplié
par
3
à
5,
en
l’absence
de
prévention,
et
la
mortalité
est
élevée
(5
à10
%)
en
raison
des
formes
atypiques
ou
graves
[5].
La
maladie
touche
aussi
les
enfants,
avec
parfois
des
formes
très
sévères,
en
particulier
méningées
(8
observations
en
2018)
mais
aussi
des
miliaires
tuberculeuses
(10
cas
en
2018),
principalement
observées
en
Ile
de
France
[3].
La
mortalité
diminue
en
France
depuis
100
ans,
avec
une
inci-
dence
divisée
par
10
entre
1910
et
1960.
En
2013,
on
estimait
la
mortalité
à
451
personnes
:
161
décès
liés
à
une
tuberculose
active
et
290
décès
liés
à
une
séquelle
d’une
tuberculose
ancienne
(insuf-
fisance
respiratoire)
[2].
Il
faut
retenir
de
ces
données
épidémiologiques,
cinq
informa-
tions
vraiment
importantes
:
la
tuberculose
n’a
pas
disparu
:
elle
atteint
encore
4
000
à
6
000
personnes
chaque
année
en
France,
est
responsable
d’environ
400
à
500
décès
annuels
;
elle
peut
être
grave
et
mortelle
chez
les
enfants
;
le
diagnostic
doit
être
particulièrement
recherché
en
Ile
de
France,
à
Mayotte
et
en
Guyane
;
les
détenus,
les
SDF
et
les
individus
d’origine
étrangère
(Afrique
sub-saharienne
mais
aussi
Afrique
du
nord
et
Europe
de
l’Est)
vivant
en
France
depuis
moins
de
5
ans
sont
les
patients
à
très
haut
risque
de
tuberculose
;
chez
les
patients
immunodéprimés,
le
plus
souvent
dans
le
cadre
d’un
traitement,
des
mesures
préventives
sont
indispensables
pour
éviter
des
tuberculoses
atypiques
et
graves
mettant
en
jeu
le
pronostic
vital
:
dépistage
par
radiographie
pulmonaire
et
test
IGRA
mais
aussi
traitement
des
tuberculoses
latentes
[5].
1.2.
La
tuberculose
ostéo-articulaire
est
une
forme
clinique
minoritaire
de
la
maladie
La
tuberculose
est
avant
tout
une
maladie
pulmonaire
:
72
%
des
4741
cas
déclarés
en
France
en
2015.
Parmi
les
tuberculoses
extra
pulmonaires
qui
représentaient
28
%
des
observations
en
2015,
on
observe
avant
tout
des
atteintes
ganglionnaires
(50
à
60
%
des
patients)
puis
des
atteintes
ostéo-articulaires
(15
à
20
%),
périto-
néales
(6
à
8
%)
et
génitales
(6
à
8
%)
[6].
On
peut
ainsi
estimer
que
la
tuberculose
ostéo-articulaire
touche
environ
200
à
300
individus
par
an,
en
France.
Elle
atteint
surtout
le
rachis
(50
%
des
cas)
mais
aussi
l’articulation
sacro-
iliaque,
les
articulations
périphériques
(en
particulier
le
genou
et
la
hanche)
et
les
structures
osseuses
:
os
longs
des
membres
mais
aussi
sacrum,
os
iliaque,
crâne,
clavicule,
omoplate,
calcanéus.
.
.
La
tuberculose
ostéo-articulaire,
habituellement
unifocale,
peut
tou-
cher
de
fac¸
on
synchrone,
plusieurs
structures
chez
2
à
10
%
des
patients
infectés.
Elle
peut
être
associée
ou
non
à
une
tuberculose
pulmonaire
ou
à
une
autre
localisation
extra-pulmonaire.
La
tuberculose
ostéo-articulaire
doit
être
évoquée
devant
toute
pathologie
rachidienne
d’allure
infectieuse,
toute
mono-
arthrite
persistante,
toute
lésion
osseuse
lytique
uni
ou
multifocale,
en
particulier
chez
les
individus
à
haut
risque
lar-
gement
décrits
ci-dessus.
Si
le
diagnostic
est
confirmé,
les
autres
foyers,
en
particuliers
thoraciques
et
ganglionnaires
devront
être
systématiquement
recherchés
(scanner
thoracique
et
abdominal
ou
PET
scanner).
2.
Particularités
physiopathologiques
Mycobactérium
tuberculosis
complex
comporte
plusieurs
souches
pathogènes
:
Mycobactérium
tuberculosis,
souche
la
plus
impliquée
dans
les
tuberculoses
ostéo-articulaires,
mais
aussi
M
africanum,
M
bovis,
M
microtti,
M
canetti,
M
caprae
[7].
C’est
une
bactérie
dont
la
croissance
est
lente.
Elle
ne
produit
pas
d’enzymes
protéolytiques
et
sa
diffusion
est
habituellement
progressive
au
sein
de
l’organisme
humain.
Deux
modes
de
contamination
ont
été
décrits
pour
les
structures
osseuses
:
contamination
initiale
directe
(rare)
ou
plus
souvent
réveil
d’une
tuberculose
ancienne.
Inhalée
par
voie
respiratoire,
Mycobactérium
tuberculosis
pro-
voque
la
formation
d’un
granulome
(primo
infection
tuberculeuse)
qui
va,
dans
90
%
des
cas,
contenir
l’infection
en
laissant
persis-
ter
une
bactérie
dormante
au
sein
des
lésions
pulmonaires
ou
ganglionnaires.
Le
plus
souvent
la
tuberculose
ostéo-articulaire
résulte
donc
de
la
réactivation
d’une
bactérie
dormante
en
raison
d’une
diminution
des
défenses
immunitaires
du
patient
:
grand
âge,
dénutrition,
VIH,
immuno-dépression
thérapeutique.
.
.
[8]
La
dis-
sémination
est
alors
le
plus
souvent
hématogène
vers
la
moelle
osseuse
ou
la
membrane
synoviale.
Toutefois,
dans
10
%
des
cas,
cette
réaction
granulomateuse
ini-
tiale
ne
permet
pas
de
contrôler
l’infection
qui
se
diffuse
alors
par
voie
hématogène,
aux
autres
structures
pulmonaires
(tuberculose
classique
ou
miliaire)
ou
extra
pulmonaires
(méninges,
rachis,
arti-
culations,
péritoine.
.
.).
Dans
cette
situation,
la
découverte
d’un
foyer
pulmonaire
actif
est
habituelle,
au
moment
du
diagnostic
de
tuberculose
ostéo-articulaire.
L’absence
de
production
d’enzymes
protéolytiques
expliquerait
l’atteinte
osseuse
prédominante
par
rapport
à
l’atteinte
discale
au
cours
des
spondylodiscites
tuberculeuses.
3.
Particularités
des
arthrites
tuberculeuses
La
tuberculose
articulaire
peut
atteindre
toutes
les
articulations
avec
une
prédilection
pour
le
membre
inférieur
:
le
genou
qui
repré-
sente
30
à
50
%
des
cas
chez
l’adulte,
la
hanche
surtout
chez
l’enfant,
l’articulation
sacroiliaque,
la
cheville
ou
le
pied.
Au
poignet
il
s’agit
souvent
d’une
ténosynovite
chronique
qui
a
la
même
valeur
qu’une
arthrite.
Une
atteinte
des
bourses
séreuses
est
possible
au
genou,
à
la
hanche,
à
l’épaule,
au
coude.
Les
atteintes
intra-articulaires
de
l’épaule,
du
coude
ou
de
la
main
sont
plus
rares
[9,10].
La
91
E.
Legrand
et
al.
Revue
du
rhumatisme
monographies
89
(2022)
90–96
Fig.
1.
Arthrite
tuberculeuse
évoluée
du
poignet.
tuberculose
peut
être
retrouvée
sur
une
prothèse
articulaire,
posée
devant
une
arthrite
destructrice
tuberculeuse
mais
non
reconnue
comme
telle,
en
pré-opératoire,
faute
d’examens
paracliniques
suf-
fisants.
Il
s’agit
d’une
arthrite
subaiguë
ou
chronique,
d’intensité
modé-
rée,
évoluant
sur
plusieurs
semaines
ou
mois,
simulant
le
début
d’un
rhumatisme
inflammatoire
chronique.
Le
retard
diagnostique
est
souvent
important
entre
6
et
24
mois,
car
les
éléments
cliniques
n’évoquent
pas
une
infection.
De
plus,
aucun
signe
clinique
n’est
spécifique,
hormis
la
fixité
de
l’atteinte
articulaire,
qui
contraste
avec
l’évolution
plus
intermittente
des
monoarthrites
observées
au
cours
des
RIC.
Les
signes
généraux
ne
sont
présents
que
chez
un
patient
sur
trois
mais
leur
présence
est
évocatrice
:
anorexie
franche,
amaigrissement,
sueurs
nocturnes,
fébricule.
La
biologie
générale
est
aspécifique,
avec
un
syndrome
inflam-
matoire
le
plus
souvent
modéré.
La
pratique
d’un
test
IGRA
(exemple
test
Quantiferon)
apporte
des
informations
avec
une
sen-
sibilité
de
80
à
90
%
pour
une
spécificité
de
l’ordre
de
85
%.
Toutefois,
le
test
ne
permet
pas
de
différencier
tuberculose
latente
(fréquente
dans
les
populations
à
risque)
et
tuberculose
active.
L’interprétation
sera
donc
prudente
:
la
négativité
du
test
incite
à
rechercher
un
diagnostic
différentiel,
sa
positivité
est
plus
difficile
à
interpréter
:
les
preuves
bactériologiques
sont
toujours
indispensables,
avant
de
mettre
en
œuvre
un
traitement
complexe,
avec
des
effets
indési-
rables
potentiels.
Les
radiographies
standard
sont
normales
au
départ
ou
montrent
une
arthropathie
pré
existante
(arthrose),
ce
qui
peut
contribuer
à
faire
errer
le
diagnostic
initial.
Les
signes
radio-
graphiques
apparaissent
très
progressivement
:
déminéralisation
osseuse
localisée
puis
plusieurs
mois
plus
tard,
pincement
de
l’interligne
articulaire,
érosions,
géodes,
ostéosclérose,
hyperos-
tose,
calcifications
des
parties
molles
(Fig.
1
et
2).
La
tomodensitométrie
est
indispensable
pour
explorer
les
loca-
lisations
sacro-iliaques,
sterno
claviculaires
et
de
la
symphyse
pubienne.
L’IRM
montre
les
signes
d’une
infection
ostéo-articulaire
mais
permet
surtout
d’explorer
les
parties
molles
en
montrant
par-
fois
des
abcès
péri-articulaires
(Fig.
3).
3.1.
Le
diagnostic
final
d’arthrite
tuberculeuse
repose
sur
l’analyse
des
prélèvements
Le
liquide
articulaire
est
inflammatoire,
avec
5
000
à
50
000
leu-
cocytes/mm3,
avec
une
majorité
de
PNN.
La
prédominance
lymphocytaire,
attendue
dans
le
contexte
de
la
tuberculose,
ne
concerne
en
fait
que
20
%
des
patients.
En
l’absence
de
bactérie
pyogène
explicative,
il
faut
rechercher
une
mycobactérie
à
l’examen
direct
(coloration
de
Ziehl-Neelsen)
et
mettre
en
culture
pour
un
résultat
attendu
au
bout
de
3
à
10
semaines.
La
pratique
de
la
PCR
dont
la
sensibilité
atteint
60
à
80
%
pour
une
spécificité
de
l’ordre
de
90
%,
permet
de
gagner
du
temps
avec
un
résultat
disponible
en
3
à
6
jours
[11].
La
biopsie
synoviale,
réalisée
sous
contrôle
échographique,
apporte
des
informations
capitales
quand
son
examen
montre
un
granulome
épithélioïde
et
giganto-cellulaire
avec
parfois
de
la
nécrose
caséeuse
[9].
Il
est
possible
de
prélever,
en
s’aidant
de
l’échographie,
un
abcès
périarticulaire
ou
une
ténosynovite.
3.2.
Particularités
des
ostéites
tuberculeuses
La
tuberculose
peut
toucher
toutes
les
structures
osseuses,
y
compris
le
crâne
avec
toutefois
une
prédilection
pour
les
os
longs
(80
%
des
cas)
des
membres
inférieurs.
Le
plus
souvent
unifocale,
elle
peut
toucher
plusieurs
structures
osseuses
en
particulier
chez
l’enfant
et
s’accompagner
alors
de
signes
généraux.
L’évolution
cli-
nique
très
lente
est
émaillée
de
douleurs
chroniques,
d’abcès
des
parties
molles,
de
fistulisation
et
plus
rarement
de
surinfection
[9].
La
sémiologie
radiographique
est
polymorphe
et
trompeuse
:
ostéolyse
pseudo
tumorale,
destruction
corticale
avec
envahis-
sement
des
parties
molles,
réaction
périostée
sur
les
os
longs,
dactylite
des
métacarpiens,
des
métatarsiens
ou
des
phalanges.
La
scintigraphie
osseuse
montre
une
hyperfixation
aspécifique
(Fig.
4).
Le
scanner
(Fig.
5)
et
l’IRM
apportent,
de
fac¸
on
inconstante,
des
signes
orientant
vers
une
infection
chronique
:
abcès
des
parties
molles,
calcifications
dans
les
parties
molles,
séquestre
osseux.
L’IRM
permet
de
juger
de
l’extension
des
lésions
au
sein
de
la
structure
osseuse.
La
triade
classique
hyposignal
T1,
hypersignal
T2
et
prise
de
contraste
au
gadolinium,
n’est
pas
constante
au
cours
de
l’ostéite
tuberculeuse
avec
souvent
un
hypo
ou
un
isosignal
en
T2
particulièrement
trompeur
[12].
Il
existe
donc
des
risques
importants
d’erreur
diagnostique
avec
les
tumeurs
malignes
pri-
mitives
ou
secondaires,
le
syndrome
SAPHO,
une
sarcoïdose,
une
histoplasmose,
une
ostéite
chronique
à
germe
banal
(staphylo-
coque).
De
nouveau,
ce
sont
les
prélèvements
locaux
(os
et
abcès
des
parties
molles)
avec
analyse
histologique
et
bactériologique
qui
sont
déterminants,
réalisés
sous
contrôle
scopique
ou
scanner
le
plus
souvent.
3.3.
Particularités
des
spondylodiscites
tuberculeuses
La
littérature
scientifique
montre
que
50
à
60
%
des
localisations
ostéo-articulaires
de
la
tuberculose
concerne
le
rachis.
Inverse-
ment,
devant
une
spondylodiscite
infectieuse,
la
tuberculose
reste
une
éventualité
rare,
ne
concernant
que
1
à
5
%
des
patients.
Le
risque
de
tuberculose
rachidienne
est
plus
élevé,
devant
un
tableau
clinique
et
radiographique
de
spondylodiscite
si
le
patient
appar-
tient
à
un
groupe
à
risque,
décrit
ci-dessus.
Devant
une
spondylodiscite
infectieuse
[13],
affirmée
en
rai-
son
de
la
cohérence
entre
les
signes
cliniques
et
les
signes
IRM
(ou
radiographiques
dans
les
formes
évoluées),
certains
arguments
plaident
en
faveur
d’une
origine
tuberculeuse
[4]
:
le
terrain
de
survenue
est
un
argument
majeur
:
antécédent
de
tuberculose
non
ou
mal
traitée,
patients
immunodéprimés
pour
des
raisons
pathologiques
ou
thérapeutiques,
individus
vivant
en
Ile
de
France,
à
Mayotte
et
en
Guyane,
les
détenus
des
prisons,
les
92
E.
Legrand
et
al.
Revue
du
rhumatisme
monographies
89
(2022)
90–96
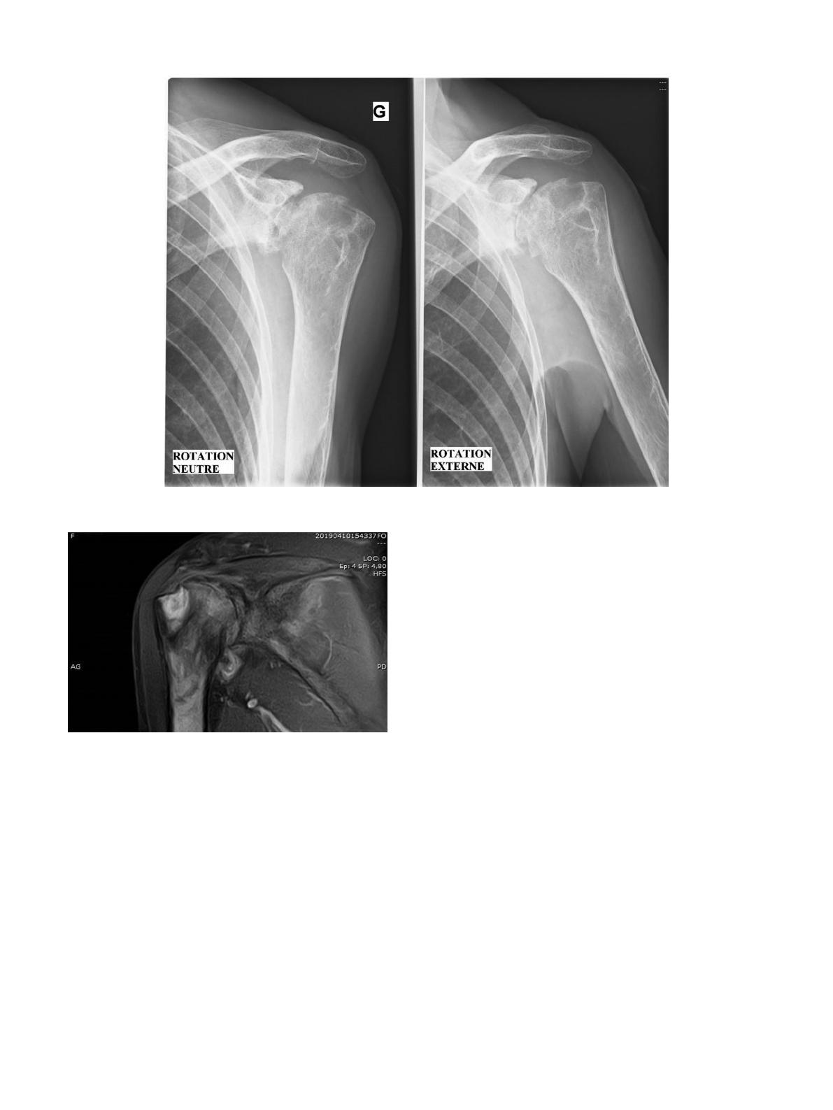
Fig.
2.
Arthrite
tuberculeuse
évoluée
de
l’épaule
;
radiographie
standard.
Fig.
3.
Arthrite
tuberculeuse
de
l’épaule
évoluée
;
IRM.
patients
SDF
et
les
individus
d’origine
étrangère
vivant
en
France
depuis
moins
de
5
ans
;
le
caractère
chronique
de
la
douleur
rachidienne,
souvent
peu
intense
au
départ,
avec
une
aggravation
lente
sur
plusieurs
mois
;
la
localisation
thoracique
de
l’infection,
même
si
tous
les
étages
rachidiens
peuvent
être
touchés
;
les
signes
généraux
et
en
particulier
les
sueurs
profuses
et
l’amaigrissement
associés
à
une
fébricule
persistante
;
l’association
avec
des
signes
extra
rachidiens
:
toux
persistante,
dyspnée,
hémoptysie,
adénopathie
fixe
;
la
positivité
d’un
test
IGRA
dont
la
sensibilité
et
la
spécificité
sont
de
l’ordre
de
80
à
90
%
;
la
négativité
du
test,
sans
éliminer
tota-
lement
le
diagnostic
(faux
négatifs
possibles
chez
les
sujets
âgés
ou
dénutris),
incite
à
rechercher
un
diagnostic
alternatif
;
la
présence
de
signes
neurologiques,
qui
est
plus
fréquente
au
cours
des
spondylodiscites
tuberculeuses,
en
raison
des
abcès
volumineux
et
des
destructions
vertébrales
;
les
radiographies
standard
sont
normales
au
départ
puis
apparaît
une
ostéolyse
vertébrale
plus
franche
que
lors
des
SDI
à
germe
banal
:
elle
peut
toucher
le
corps
vertébral
(partie
antérieure)
ou
l’arc
postérieur
et
s’accompagner
de
lésions
condensantes
entou-
rant
la
lésion
lytique
;
la
présence
de
plusieurs
foyers
vertébraux,
parfois
séparés
par
des
vertèbres
saines
;
l’IRM
montre
plus
souvent
une
spondylite
qu’une
spondylodiscite
et
révèle
la
présence
de
collections
paravertébrales,
épidurales,
souvent
volumineuses.
(Fig.
6
et
7)
;
si
l’IRM
est
impossible,
le
scanner
est
utile
pour
bien
décrire
les
abcès
paravertébraux
ou
épiduraux
et
les
destructions
ver-
tébrales
(Fig.
8)
;
le
PET
scanner
peut
être
utile,
compte
tenu
de
sa
capacité
à
mon-
trer
les
lésions
granulomateuses,
dans
les
dossiers
difficiles,
pour
montrer
des
localisations
multiples.
Aucun
des
signes
cliniques
ou
d’imagerie
décrits
ci-dessus
n’est
toutefois
suffisant
pour
porter
le
diagnostic
et
il
existe
donc
un
risque
important
d’erreur
diagnostique
avec
les
cancers
osseux
métastatiques,
les
spondylodiscites
bactériennes
classiques
et
les
autres
infections
vertébrales
rares
:
brucellose,
mycose,
actinomy-
cose.
De
nouveau,
la
réalisation
de
prélèvements
des
abcès
et
vertèbres
pathologiques
est
absolument
indispensable
:
la
bacté-
riologie
n’est
pas
suffisante
et
l’examen
histologique
est
nécessaire.
En
effet
la
culture
n’est
positive
que
chez
50
à
80
%
des
patients
mais
le
diagnostic
peut
être
conforté
par
l’examen
anatomo-pathogique
:
granulome
épithélioïde
et
giganto-cellulaire
avec
parfois
de
la
nécrose
caséeuse.
93
E.
Legrand
et
al.
Revue
du
rhumatisme
monographies
89
(2022)
90–96
Fig.
4.
Ostéite
tuberculeuse
iliaque
;
scintigraphie.
Fig.
5.
Ostéite
tuberculeuse
iliaque,
même
patient
;
scanner.
4.
Particularités
du
traitement
de
la
tuberculose
ostéo-articulaire
4.1.
Antibiotiques
4.1.1.
Le
traitement
médical
de
la
tuberculose
ostéo-articulaire
est
bien
différent
de
celui
des
infections
ostéo-articulaires
à
germe
banal.
La
durée
du
traitement
oscille
suivant
les
recommandations
entre
6
et
9
mois.
L’antibiothérapie
initiale
va
combiner
4
anti-
biotiques
pendant
2
mois
(rifampicine,
isoniazide,
éthambutol
et
pyrazinamide)
puis
après
réception
de
l’antibiogramme
une
bithé-
rapie
(rifampicine,
isoniazide)
pendant
4
mois
[14].
Ces
quatre
Fig.
6.
Spondylodiscite
tuberculeuse
T12-L1
;
IRM
séquence
T1
avec
gadolinium.
Fig.
7.
Spondylodiscite
tuberculeuse
T12-L1
;
IRM
séquence
T2
STIR.
médicaments
peuvent
être
utilisés
pendant
la
grossesse
selon
le
CRAT
et
l’OMS.
La
présence
d’un
Mycobactérium
bovis,
naturellement
résistant
au
pyrazinamide,
oblige
à
utiliser
l’éthambutol
pendant
toute
la
durée
du
traitement.
La
découverte
d’une
mycobactérie
résistante
doit
conduire
à
demander
un
avis
auprès
d’un
spécialiste
de
mala-
dies
infectieuses
ou
d’un
pneumologue
expérimenté
pour
utiliser
éventuellement
le
linezolide
et
certaines
fluoroquinolones
[15].
94
1 / 7 100%
La catégorie de ce document est-elle correcte?
Merci pour votre participation!

Faire une suggestion

Avez-vous trouvé des erreurs dans l'interface ou les textes ? Ou savez-vous comment améliorer l'interface utilisateur de StudyLib ? N'hésitez pas à envoyer vos suggestions. C'est très important pour nous!