Gestes médico-chirurgicaux
assistés par ordinateur
(GMCAO) :
principes et applications en
radiologie interventionnelle
Ivan Bricault
Clinique universitaire de Radiologie et Imagerie
médicale / Laboratoire TIMC-GMCAO
Module national d’enseignement
Avril 2013
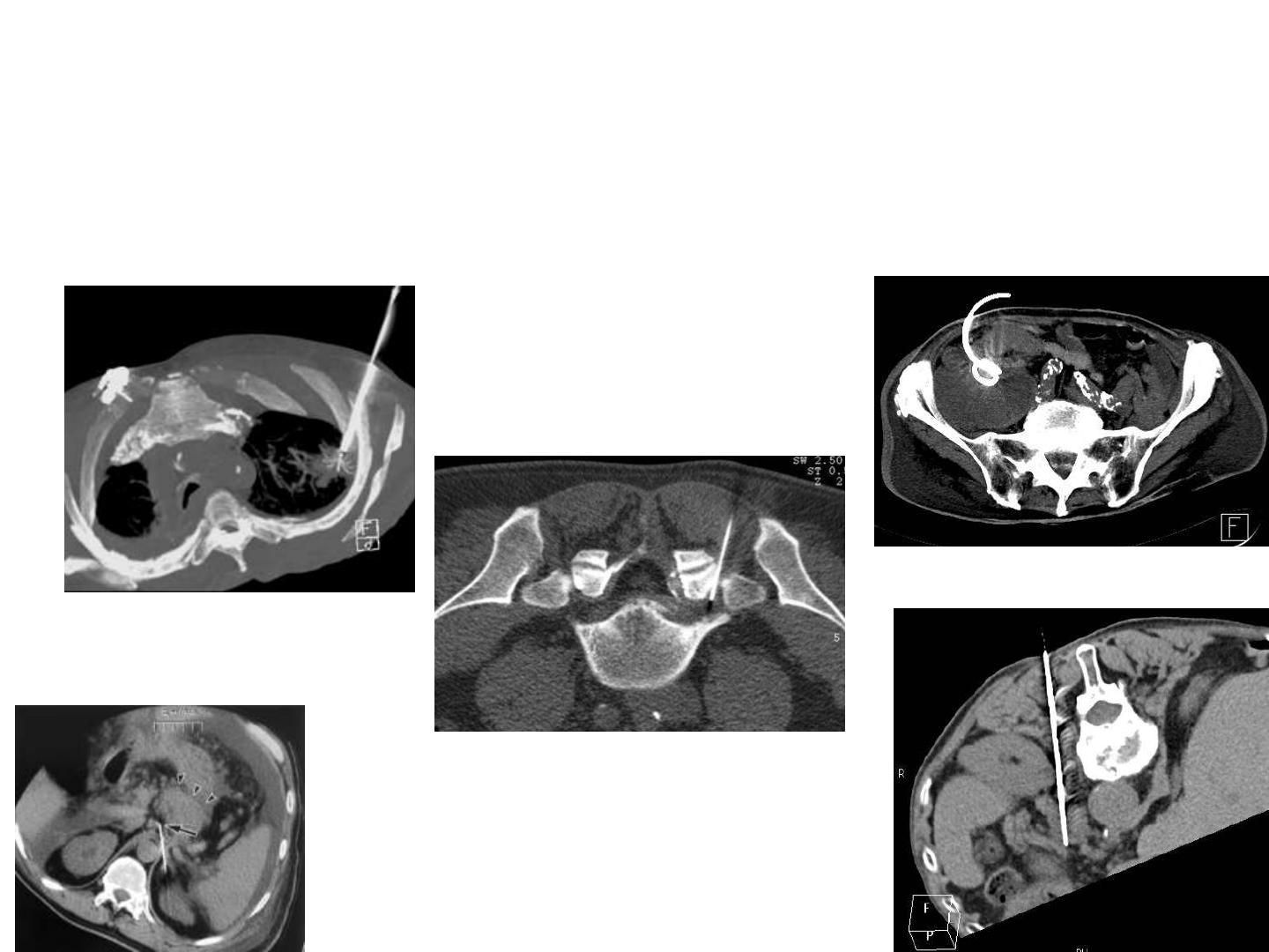
La radiologie interventionnelle sous scanner
Destruction par radiofquence
d’une tumeur pulmonaire Drainage d’un
abs
Infiltration articulaire
Alcoolisation
coeliaque
Biopsie d’une
tumeur
surnalienne
Les besoins :
Exemple de cas
difficiles
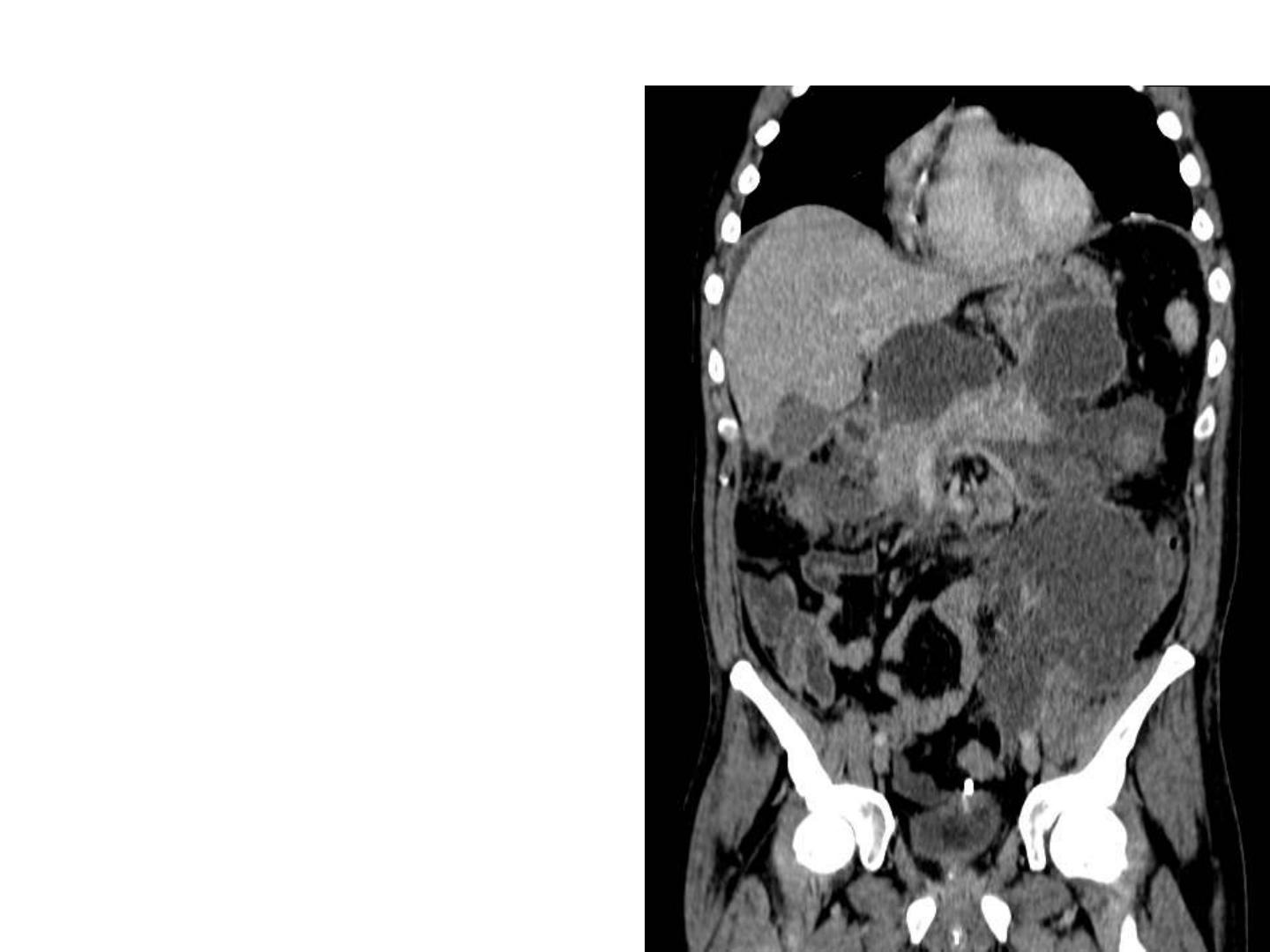
Pancréatite aigüe
grave crosante
et surinfectée
Demande de
drainage
radiologique
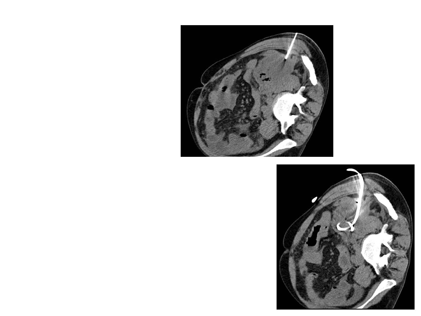
Cas clinique
Patient porteur
d’un syndrome
de Gilles de la
Tourette
mouvements
spastiques
incontrôlables
Drainage « au plus simple »
Plan axial, drain 14 F
1 / 55 100%
La catégorie de ce document est-elle correcte?
Merci pour votre participation!

Faire une suggestion

Avez-vous trouvé des erreurs dans l'interface ou les textes ? Ou savez-vous comment améliorer l'interface utilisateur de StudyLib ? N'hésitez pas à envoyer vos suggestions. C'est très important pour nous!