
5
térisée par une prolifération des
cellules épithéliales bordant les
canaux et les acini prostatiques,
présentant des anomalies cytonu-
cléaires, comparables à celles obs-
ervées dans les cellules des carci-
nomes prostatiques, mais ayant
conservés une architecture nor-
male [14, 15]. Ces lésions ont été
décrites initialement en 1986 par
Mac Neal et Bostwick sous le
terme de dysplasie intracanalaire
[16]. Le terme de PIN proposé par
Bostwick et Brawer a progressive-
ment remplacé le terme de
dysplasie intracanalaire [17] et a
été subdivisé en : PIN de bas
grade (PINBG), et PIN de haut
grade (PINHG), qui seules doi-
vent être signalées sur les compte
rendus histologiques des prélève-
ments biopsiques [14].
Il est actuellement admis que les
PINHG et le cancer invasif parta-
gent plusieurs caractéristiques
histopathologiques, morphomé-
triques et biologiques : augmen-
tation de l’apoptose (bcl-2, p27),
des facteurs de croissance cellu-
laire (growth factor b, fibroblast
growth factor, c-met, insulinlike
growth factors…), hyper expres-
sion de p 53, méthylation GSTP1,
modification des protéines kina-
ses, perte de l’expression de la b 4
intégrine, expression de KAI 1, et
génétiques : délétion 8p, gain
chromosomiques 10, 12 [17], et
même hyper expression de l’a-
methyl CoA racemase [7]. La fré-
quence des lésions de HG-PIN
retrouvées sur les biopsies prosta-
tiques varie dans la littérature de
0,5 à 23% en fonction de la popu-
lation étudiée (population géné-
rale versus population urolo-
gique), des critères histologiques
retenus, de la qualité des tech-
niques (épaisseur de coupe, colo-
rations) et du grades retenus [15].
En Europe les pays scandinaves
semblent avoir une prévalence
plus faible (3,4%), que les pays
du sud de l’Europe (3,75 à 15%)
[18]. En Asie l’incidence semble
également être moins élevée
qu’aux Etats-Unis [18].
L’importance clinique de la mise
en évidence de lésions de PINHG
isolées sur des biopsies prosta-
tiques est basée sur le risque élevé
de cancer invasif associé présent
dans la glande prostatique, dans
22 à 100% des cas, le plus souvent
à proximité des foyers de PIN [14,
15, 18]. Ce risque est d’autant plus
élevé que la lésion est de haut
grade, qu’il existe une suspicion
clinique (toucher rectal anormal)
ou biologique (élévation PSA), ou
que l’âge est élevé. Les PIN HG
n’élèvent pas le taux des PSA, ne
modifient pas le toucher rectal, ni
l’écho structure de la prostate. La
présence d’un taux suspect de
PSA, associé à des lésions de
PINHG isolées sont liés à la pré-
sence d’un cancer associé non
identifié par la première série de
biopsies [18]. Une nouvelle série
de biopsie en sextant est recom-
mandée dans les trois à six mois,
sans nouveau dosage des PSA
[18], associée à des biopsies diri-
gées sur la région ou il existait des
lésions de PINHG ou sur une
zone hypo-échogène. Dans 60 à
65% des cas, le cancer est mis en
évidence du même côté que les
foyers de PINHG isolées [14, 15,
18]. L’incidence des cancers mis
en évidence sur une deuxième
série de biopsie varie de 2,3% à
24% [19] et la majorité des cancers
sont diagnostiqués dès la deuxiè-
me série de biopsies [20]. La pré-
sence de PINHG isolée ne doit
pas dicter la décision thérapeu-
tique et en aucun cas un traite-
ment radical ne peut être envisagé
en cas de diagnostic de PINHG
isolée.
Le dépistage de masse du cancer
de la prostate a modifié la lecture
des biopsies prostatiques. Le
pathologiste est actuellement
confronté à une interprétation
d’anomalies complexes pouvant
aboutir à une incertitude diagnos-
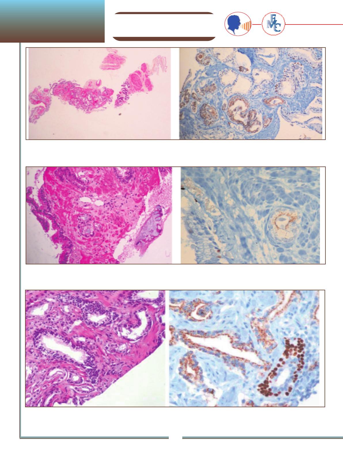
tique. L’utilisation raisonnée des
nouveaux anticorps comme les
marqueurs spécifiques des cellu-
les tumorales (p504s) et des cellu-
les basales (CK5/6, CK 903, p63)
permet de diminuer ces incertitu-
des. Une fois le diagnostic de can-
cer posé sur des arguments histo-
logiques formels, associés à une
positivité de l’AMACR, et une
disparition complète des cellules
basales, même en cas de foyer
minime de moins de 1mm il n’est
pas nécessaire d’effectuer de nou-
velles biopsies et les critères histo
pronostiques classiques peuvent
s’appliquer (données cliniques,
taux des PSA, % d’envahissement
tumoral, nombre de biopsies posi-
tives, bilatéralité, score de
Gleason ….) pour permettre une
prise en charge thérapeutique
adaptée du patient. Une deuxiè-
me lecture, actuellement non
prise en compte dans la nomen-
clature des actes médicaux peut
être proposée. Dans un certain
nombre de cas un diagnostic de
lésion suspecte (ASAP) ou de
PINHG isolée peut être proposé,
et une nouvelle série de biopsies
être envisagée ◆
V. CONCLUSION
N°1 Février 2004
Questions D’ACTUALITÉ
Foyer Minime, Foyer Suspect et Néoplasies
Intra-épithéliales Prostatiques de Haut Grade.
Quelles Significations ? Quelles Conséquences ?