Stéphane Lehéricy La neuro-imagerie à l`ère du patient numérique

Stéphane Lehéricy
Collège de France – 20 mai 2014
La neuro-imagerie à l'ère du patient
numérique
CENIR
Centre de Neuro-Imagerie de
Recherche
La neuro-imagerie à l’ère du patient numérique
1.L’IRM une approche multimodale de la pathologie
cérébrale
- L’exploration des tumeurs cérébrales
2.La recherche de marqueurs précoces des maladies
- Autour de la maladie de Parkinson
3.L’image pour localiser les cibles chirurgicales
- Un atlas tridimensionnel pour la chirurgie stéréotaxique
4.Le développement de thérapies guidées par l’imagerie
- Ultrasons focalisés à haute intensité
- Stimulation magnétique transcrânienne
L’IRM : une approche
multimodale de la pathologie
cérébrale
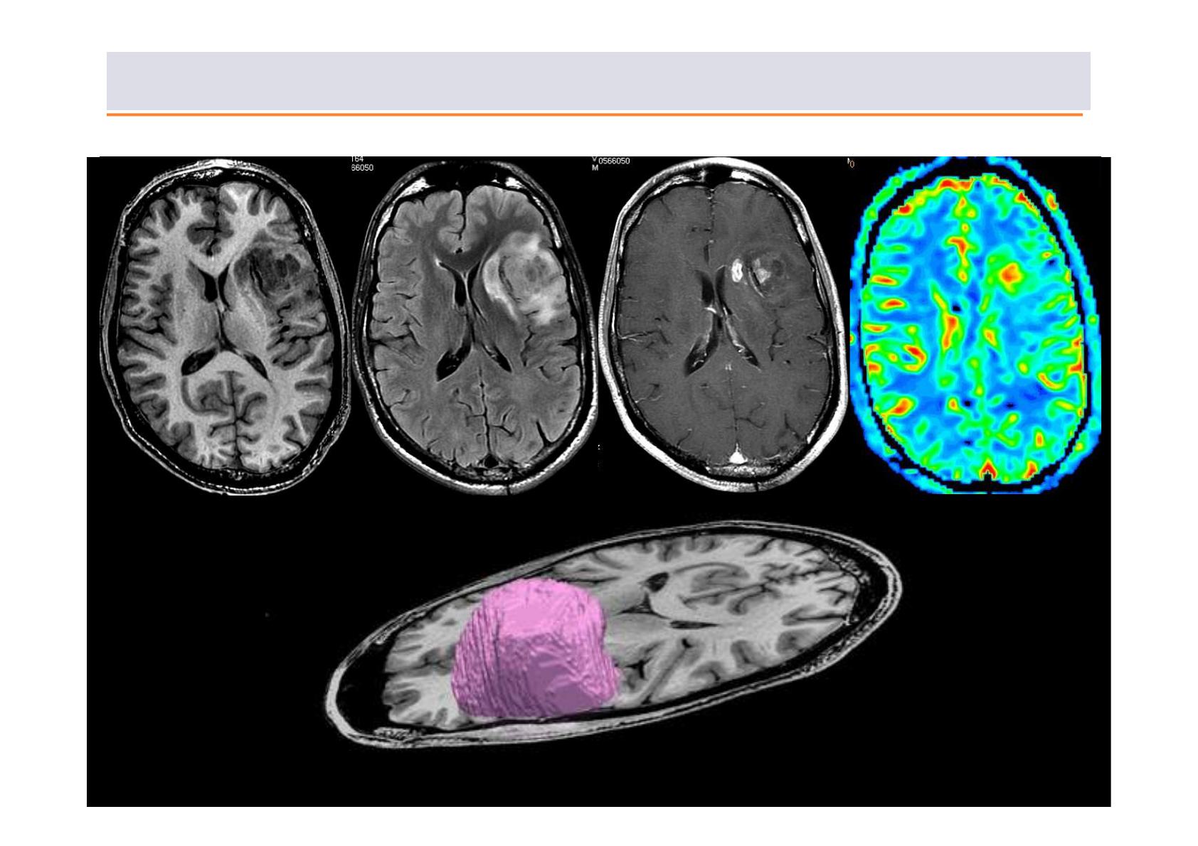
Une approche multimodale de la pathologie cérébrale
Un exemple : les tumeurs gliales (gliomes)
Tumeurs primitives du cerveau
Prévalence 5 / 100.000
Bas grade et haut grade (maligne)
Exploration multimodale IRM des tumeurs cérébrales
Perfusion
T1 FLAIR Injection
1 / 47 100%
La catégorie de ce document est-elle correcte?
Merci pour votre participation!

Faire une suggestion

Avez-vous trouvé des erreurs dans l'interface ou les textes ? Ou savez-vous comment améliorer l'interface utilisateur de StudyLib ? N'hésitez pas à envoyer vos suggestions. C'est très important pour nous!