S Y S T È M E N E R V E U X
Service d’Histologie-Embryologie, Faculté de Médecine de Mostaganem
A- Généralités & Développement embryologique
B- Moelle épinière
C- Cervelet
D- Cerveau
B - M O E L L E E P I N I E R E
Service d’Histologie-Embryologie, Faculté de Médecine de Mostaganem
I. Généralités
Long cordon aplati d'avant en arrière : 42 à45 cm de long chez
l’adulte (pour un diamètre de 1 cm) alors que le canal rachidien
atteint les 70 cm Le cône terminal de la moelle se situe à la
hauteur de L1-L2.
Poids = 26 à35gpeine 2% de la masse encéphalique).
logée dans le canal rachidien dont elle reste séparée par les
méninges : portion inférieure du névraxe;
En haut, en continuité directe avec le bulbe rachidien
(myélencéphale).
B - M O E L L E E P I N I E R E
B - M O E L L E E P I N I E R E
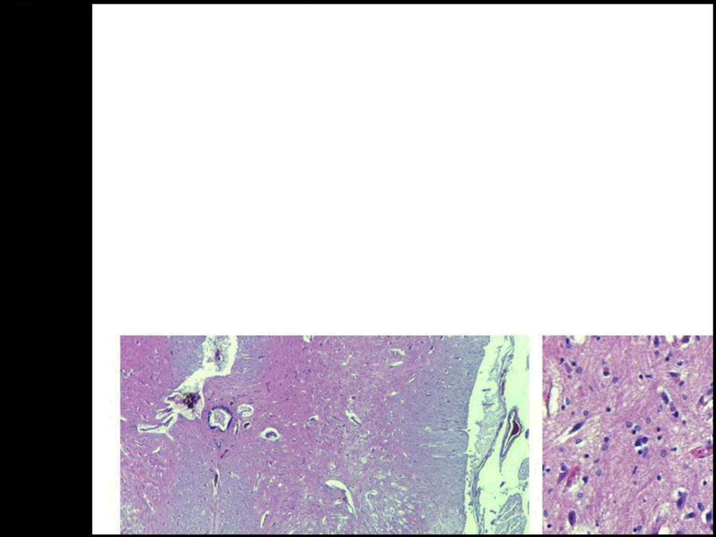
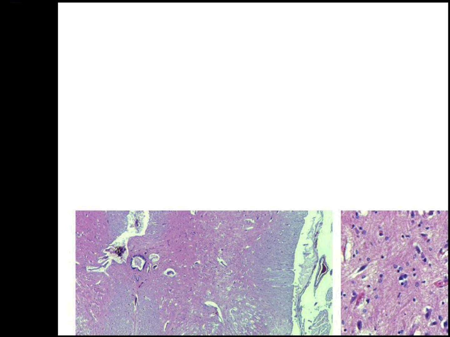
SG
SB
B - M O E L L E E P I N I E R E
Service d’Histologie-Embryologie, Faculté de Médecine de Mostaganem
II. Anatomie topographique
La moelle épinière a, en coupe transversale, une forme ovoïde.
Sa face antérieure est marquée par un sillon profond : le sillon
ventral médian.
Sa face postérieure montre un sillon plus étroit : le sillon dorsal
médian.
De part et d'autre de ces sillons, se détachent :
-en avant, les racines antérieures (motrices);
-en arrière, les racines postérieures (sensitives).
Ces racines convergent pour donner naissance à un nerf rachidien.
1 / 80 100%
La catégorie de ce document est-elle correcte?
Merci pour votre participation!

Faire une suggestion

Avez-vous trouvé des erreurs dans l'interface ou les textes ? Ou savez-vous comment améliorer l'interface utilisateur de StudyLib ? N'hésitez pas à envoyer vos suggestions. C'est très important pour nous!