
25 à 75 entre 1980 et 2000 (Taux standardisé par rapport au reste du
monde) [2]. En Martinique, région française d’outre-mer, son inci-
dence a nettement augmentée ces dix dernières années. Le cancer
de la prostate demeurerait le cancer le plus important en terme d’in-
cidence et de mortalité, d’après le registre des cancers de la Marti-
nique (plus de 53% en dix ans). L‘incidence est plus élevée qu’en
France métropolitaine et très proche de la population noire Améri-
caine [3-4]. Cette diversité géographique serait due à une combi-
naison de facteurs environnementaux, épidémiologiques ou géné-
tiques, comme le suggère la plupart des études internationales. Les
seuls facteurs de risque actuellement identifiés avec certitude sont
l’âge, l’origine ethnique et l’existence d’antécédents familiaux.
Comme dans la plupart des autres cancers, une succession d’altéra-
tions génétiques spécifiques, le plus souvent acquises et parfois
héritées, serait responsable de la carcinogenèse prostatique. La
diversité de l’expression des polymorphismes des gènes réperto-
riés, renforce l’hypothèse d’une étiologie multigénique différente
selon la population. La distribution des formes alléliques de ces
gènes peut-être significativement différente selon l’ethnie [5-6].
Pour le CaP, les différences d’incidences observées entre les popu-
lations étudiées au niveau épidémiologique, pourraient être liées en
partie à l’existence de polymorphismes de certains gènes, impliqués
dans le métabolisme des androgènes (5-alpharéductase de type 2
(SDR5A2), ou faisant varier la réceptivité aux hormones stéroïdes
(récepteur aux androgènes (AR), récepteur à la vitamine D (VDR)).
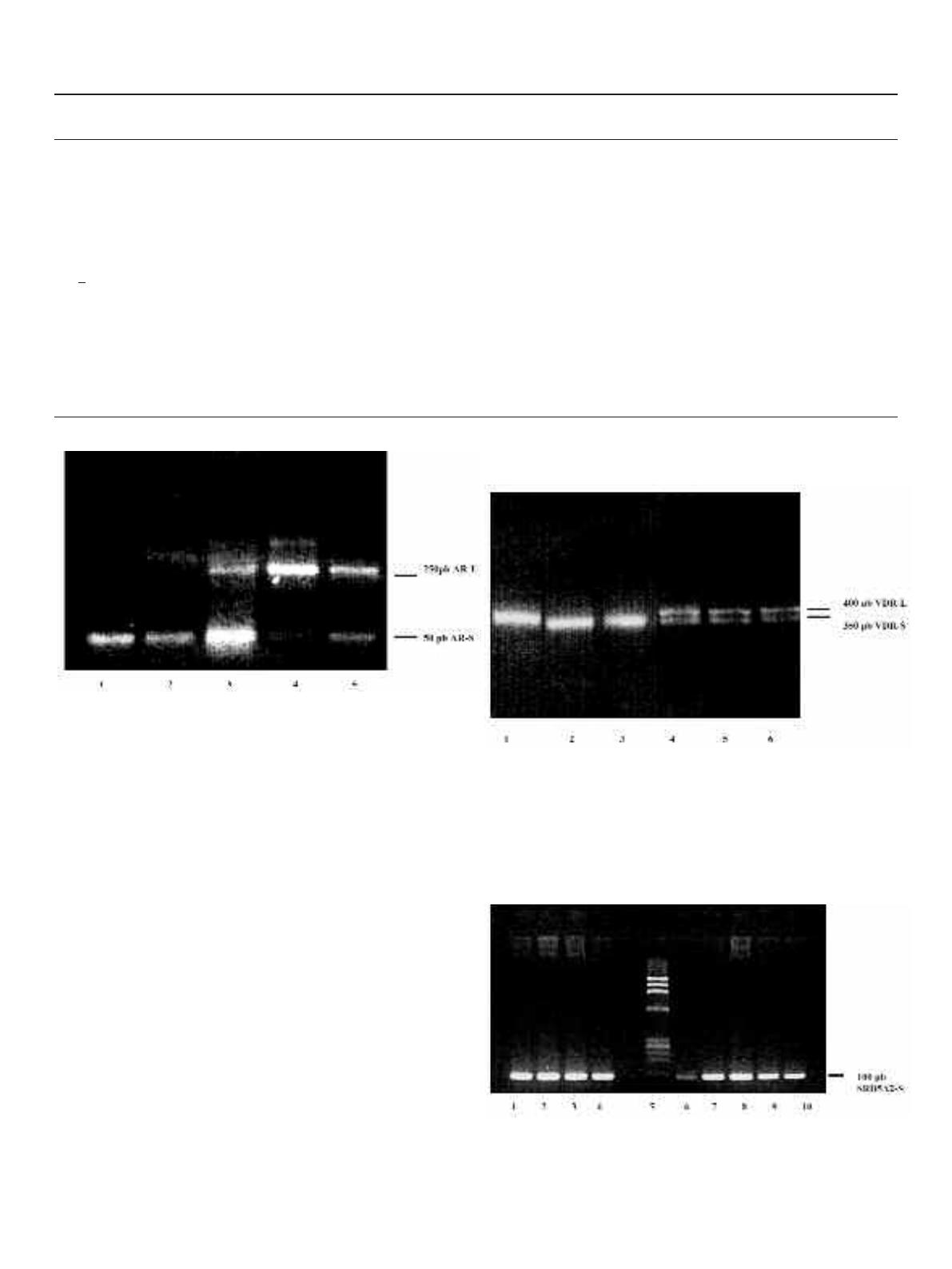
Le gène codant pour AR est constitué de 8 exons, il est localisé sur
le bras long du Chromosome X en q11-12. Le domaine de transac-
tivation du gène codant pour le récepteur aux androgènes présente-
rait un polymorphisme associé à un certain nombre de répétitions
de type CAGet de type GGC sur l’exon 1. Dans la population nor-
male, le nombre de répétitions de CAG et de GGC serait polymor-
phe et varierait de 7 à 35 pour les CAG et de 4 à 24 pour les GGC
[7-8]. IRVINE [9] avait montré que la prévalence des allèles courts en
CAG (répétitions de CAG < S22 ; AR-) était la plus élevée chez les
Afro-américains. INGLES dans deux études avait observé, que les
hommes ayant un allèle court (AR-S), présentaient un risque accru
de CaP par rapport à ceux ayant l’allèle long (répétition de CAG >
22 ; AR-L) [10]. Ce risque, en rapport avec les allèles courts, serait
significativement associé aux CaP de stade avancé et de haut grade
tumoral selon les investigations de GIOVANNUCCI [11]. Enfin d’aut-
res résultats plus récents, sur des populations Caucasiennes n’ont
pas identifié de risque de CaP supérieur pour les sujets ayant des
allèles courts en CAG [5, 12, 13]. Concernant la Vitamine D, cette
molécule induirait la division des cellules prostatiques épithéliales.
Sa forme active, la vitamine D3 (1,25(OH)2D3), présenterait un
rôle mixte dans la prolifération et dans la différenciation des cellu-
les glandulaires [14, 15]. Le gène du récepteur à la vitamine D
(VDR), situé sur le bras long du chromosome 2 en q12-14 est cons-
titué de 9 exons. Au moins quatre polymorphismes seraient liés à un
risque accru de CaP.
Certaines études laisseraient supposer qu’une exposition basse aux
rayons UV serait un facteur de risque, cela expliquerait le gradient
Nord-Sud très marqué, du taux de mortalité du CaP aux U.S.A.
[16]. Un certain nombre de gènes associés à des cancers, s’avère
être modulés directement ou indirectement par cette vitamine qui
aurait des propriétés anti-tumorales importantes [17-18]. Un poly-
morphisme de taille d’une séquence de type poly-A d’un microsa-
tellite situé dans la région 3’ transcrite du VDR, identifié par MOR-
RISON [19], a été étudié par INGLES [10]. Ces derniers avaient mon-
tré que le nombre de répétitions A variait entre 13 et 24, conduisant
ainsi à 2 allèles, un allèle lourd L (répétitions > 18 ; VDR-L), et un
allèle léger S (répétitions < 18 ; VDR-S). Dans une étude cas-
témoins portant sur une population Caucasienne, l’allèle lourd
(VDR- L), était associé à un risque quatre à cinq fois plus élevé de
CaP, comparé aux individus porteurs de l’allèle court (VDR-S).
Des résultats contradictoires ou une absence de corrélation entre le
risque de CaP et le polymorphisme poly-A avaient été observé sur
des populations Nord-Américaine ou Asiatique [20-22]. Les poly-
morphismes humains du VDR sont multiples (délétions, mutations,
insertions, substitutions de bases, polymorphisme de taille). Il est
probable que la présence de l’un ou plusieurs de ces polymorphis-
mes soit responsable du niveau de transcription du gène [17, 23-25].
Larelation entre les différents polymorphismes du gène VDR et la
fonction du gène est loin d’être élucidée. L’iso-forme enzymatique
de type II de la 5-alpha-réductase, présente dans les cellules glan-
dulaires prostatiques et dans la peau des organes génitaux, serait
responsable de la conversion de la Testostérone en Déhydro-Testos-
térone active (DHT). Des variants génétiques de cette enzyme,
pourraient être liés à un risque accru du cancer de la prostate [6,
26]. Cette enzyme est codée par le gène SRD5A2, situé sur le bras
court du chromosome 2 (2p23) [27, 28]. Ce gène présenterait un
polymorphisme de la région 3’ de l’exon 5, sous forme de nucléoti-
des TA répétés de 0,9, ou 18 [6]. Selon REICHARD,(les allèles lourds
(SRD5A2-L ; répétitions de TA >= 18) seraient plus fréquemment
observés dans les populations noires africaines que les allèles courts
(SRD5A2-S ; répétitions de TA <18) [26]. Toutefois cette observa-
tion n’a pas été retrouvée par des travaux de KANTOFF sur une popu-
lation d’origine Caucasienne [29].
Dans une population fortement métissée et particulièrement touchée
par cette pathologie [3, 4], l’analyse des polymorphismes des gènes
AR, VDR et SRD5A2 et leur implication éventuelle avec le CaP était
importante. La corrélation concernant les répétitions GGC, du gène
AR, n’a pas été retenue dans cette étude, en raison de l’insuffisance de
données significatives en rapport avec l’allèle long (nombre de répéti-
tions en GGC supérieures à 16) dans les analyses multivariées menées,
prenant en compte le stade et le grade [13].
Cette étude a présenté plusieurs intérêts : comparer nos données à
celles de populations de composantes ethniques proches, mais aussi
rechercher des implications cliniques pour le diagnostic, le pronos-
tic et la thérapeutique. Dans notre étude multivariée, les formes
alléliques des trois gènes ont été analysées et comparées à d’autres
marqueurs plus ou moins validés : les marqueurs sériques (taux de
PSA-T, F-PSA/PSA-T, Vitamine-D et Testostérone) et les mar-
queurs anatomopathologiques, pronostiques et diagnostiques
(Grade de Gleason et stade TNM).
MATERIEL ET METHODES
Sujets
Cette étude s’est appuyée sur des données recueillies dans le cadre
d’une étude cas-témoins conduite entre 2001 et 2004.
Dans chaque groupe (témoins, cas), le nombre d’individus a été de
127 pour les témoins et de 126 pour les cancers. Un formulaire de
consentement éclairé a été signé par toutes les personnes participant
àcette étude.
Pour définir des groupes ethniques homogènes en Martinique, la
situation s’est révélée compliquée, à cause du fort métissage de la
population. Par conséquent il nous a été impossible de choisir un
groupe de référence ou un proxy fondé sur la seule définition eth-
nique.
J. Véronique-Baudin et coll., Progrès en Urologie (2006), 16, 303-310
304