
Évaluation échographique du foie, de la rate et des reins normaux Imagerie médicale actuelle, 2024, volume 20
5
Un kyste splénique a été observé chez un participant et une néphropathie de grade I a été observée chez
neuf participants. Ces patients ont tous été exclus de l'étude.
sont donnés dans le tableau1.
Les valeurs moyennes et les comparaisons de groupe de l'effet
du sexe sur les variables examinées sont présentées dans le tableau2
Selon ces résultats, l'âge moyen des patientes était plus élevé que
celui des patients. Cette différence entre les sexes en termes de
valeurs d'âge était statistiquement significative (p = 0,000). Les valeurs
d'IMC des patientes étaient significativement plus élevées que celles
des patients (p = 0,000). L'effet du facteur sexe sur la valeur LL était
statistiquement significatif (p = 0,000). La valeur LL pour les hommes
était supérieure à celle des femmes. La différence entre les hommes
et les femmes en termes de valeur LD était statistiquement
significative (p = 0,004). Les valeurs LD pour les hommes étaient
supérieures à celles des femmes. La différence entre les hommes et
les femmes en termes de valeur SL était statistiquement significative
(p = 0,000). Les valeurs SL pour les hommes étaient supérieures à
celles des femmes. Toutes les valeurs rénales pour les hommes
étaient supérieures à celles des femmes (p = 0,000). Les patients ont
été répartis en quatre groupes selon leur IMC: (1) Insuffisance
pondérale <18,5kg/m²; (2) Normal (18,5-22,5kg/m²); (3) Surpoids
(22,6-30kg/m²); et (4) Obèse (>30kg/m²). Les statistiques descriptives
et les comparaisons de groupes d'IMC de tous les patients inclus dans
l'étude sont présentées dans le tableau.3. Selon ces résultats, la
différence entre les groupes en termes de variable d'âge s'est avérée
statistiquement significative (p = 0,000). L'âge moyen le plus bas a été
trouvé dans le groupe en insuffisance pondérale, et l'âge moyen le
plus élevé a été trouvé dans le groupe obèse. Ainsi, les valeurs de
l'IMC ont augmenté avec l'âge.
Français Les participants atteints de maladies systémiques, telles que
l'hypertension (HT), l'insuffisance cardiaque, le diabète sucré (DS), la
cirrhose du foie, la leucémie, le lymphome, ceux qui ont subi une chirurgie
du système gastro-intestinal (SIG), ceux atteints de maladies malignes, de
kystes ou de tumeurs du foie, de la rate et des reins, d'insuffisances rénales
aiguës et chroniques, avec une augmentation de l'écho parenchymateux
rénal (grade I et plus), avec des valeurs d'hémogramme anormales, avec
des enzymes hépatiques élevées et des tests de la fonction rénale altérés,
tels que l'urée, la créatinine et le DFG, et qui étaient enceintes n'ont pas été
inclus dans l'étude.
2.5. Limites de l'étude
L'étude a été menée dans seulement deux provinces d'une même
région géographique de Turquie; par conséquent, les résultats ne peuvent
être généralisés aux sept autres régions. Des études menées auprès de
vastes séries de personnes vivant dans la société turque de sept régions
permettraient d'obtenir des résultats plus clairs.
2.6. Analyse statistique
L'analyse statistique a été réalisée à l'aide du logiciel Statistical
Package for Social Sciences pour Windows (IBM SPSS version 28.0,
Armonk, NY, États-Unis). L'hypothèse de normalité des variables a été
testée à l'aide des tests de Kolmogorov-Smirnov et de Shapiro-Wilk.
Conformément à cette hypothèse, les statistiques descriptives des
variables ont été présentées sous la forme de moyenne ± écart type,
médiane (25e–75e).èmepercentiles) et fréquences (n, %). Pour les
analyses univariées des variables de l'étude, les tests U de Mann-
Whitney et de Kruskal-Wallis ont été utilisés en fonction des types de
variables et des hypothèses. Les comparaisons par paires des groupes
présentant des différences significatives entre eux à la suite des tests
de Kruskal-Wallis ont été effectuées à l'aide du test U de Mann-
Whitney et évaluées en appliquant la correction de Bonferroni (0,05/
numéro de groupe). Les relations entre l'âge et les valeurs de l'IMC et
de la taille des organes ont été examinées à l'aide de l'analyse rho de
Spearman.
Français La différence entre les groupes d'IMC en termes de
valeurs LL était statistiquement significative (p = 0,000). Tous les
groupes d'IMC différaient significativement les uns des autres en
termes de valeurs LL (p = 0,000). La valeur LL moyenne du groupe en
insuffisance pondérale était la plus basse, et la valeur LL moyenne du
groupe obèse était la plus élevée. Il a été observé qu'une
augmentation des valeurs d'IMC entraînait une augmentation des
valeurs LL. La différence entre les groupes d'IMC en termes de valeur
LD était statistiquement significative (p = 0,000). La différence entre
les valeurs LD des groupes en insuffisance pondérale et d'IMC normal
n'était pas statistiquement significative (p = 0,079). D'autre part, la
différence entre les valeurs LD des autres groupes d'IMC était
statistiquement significative (p = 0,000). La valeur LD moyenne la plus
élevée a été observée dans le groupe obèse.
3. RÉSULTATS
Au total, 1918 patients ont été inclus dans cette étude. Parmi
eux, 987 (51,5 %) étaient des femmes et 931 (48,5 %) des hommes.
L'âge moyen des patients était de 40,74 ± 15,95 ans. L'IMC moyen des
patients était de 26,91 ± 5,11. Statistiques descriptives des régions
organiques où les mesures ont été prises.
La différence entre les groupes d'IMC en termes de valeur SL
n'était pas statistiquement significative (p = 0,583). Une corrélation
significative a été trouvée entre la valeur ST et l'IMC (p = 0,016).
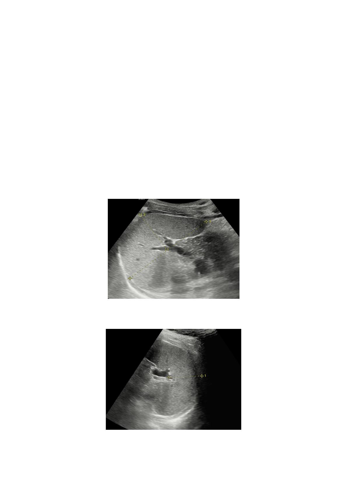
Tableau 1. Statistiques descriptives des régions d’organes où les mesures ont été prises.
-Moyenne ± écart type Medyan (25e~75e)
ÂGE 40,74 ± 15,95 39,0 (26,0 ~ 54,0)
IMC 26,91 ± 5,11 26,23 (23,35 ~ 29,98)
LL 14,08 ± 1,49 14.2. (13.10 ~ 15.10)
LD 10,6 ± 1,2 10,6 (9,8 ~ 11,5)
SL 9,46 ± 1,4 9,6 (8,5 ~ 10,5)
ST 4,06 ± 0,73 3,9 (3,5 ~ 4,5)
RKL 10,72 ± 0,75 107,0 (10,2 ~ 11,2)
RK APT 4,94 ± 0,58 4,9 (4,5 ~ 5,3)