
Copyright © ASAIO 2021
1
ASAIO Journal 2021 Pediatric Circulatory Support
Factors Associated With Initiation of Extracorporeal
Cardiopulmonary Resuscitation in the Pediatric Population:
An International Survey
DUY-ANH NGUYEN ,*† AURÉLIE DE MUL ,†‡ APARNA U. HOSKOTE ,§ PAOLA COGO ,¶ EDUARDO M. DA CRUZ,∥
SIMON ERICKSON,# JAVIER J. LASA,** RAVI R. THIAGARAJAN,†† MELANIA M. BEMBEA ,‡‡ AND OLIVER KARAM ,§§
on behalf of PALISI, ESPNIC, ANZICS PSG
Although extracorporeal cardiopulmonary resuscitation
(ECPR) is increasingly utilized in the pediatric critical care
environment, our understanding regarding pediatric candi-
dacy for ECPR remains unknown. Our objective is to explore
current practice and indications for pediatric ECPR. Scenario-
based, self-administered, online survey, evaluating clinical
determinants that may impact pediatric ECPR initiation with
respect to four scenarios: postoperative cardiac surgery, car-
diac failure secondary to myocarditis, septic shock, and chronic
respiratory failure in a former preterm child. Responders are
pediatric critical care physicians from four societies. 249
physicians, mostly from North America, answered the survey.
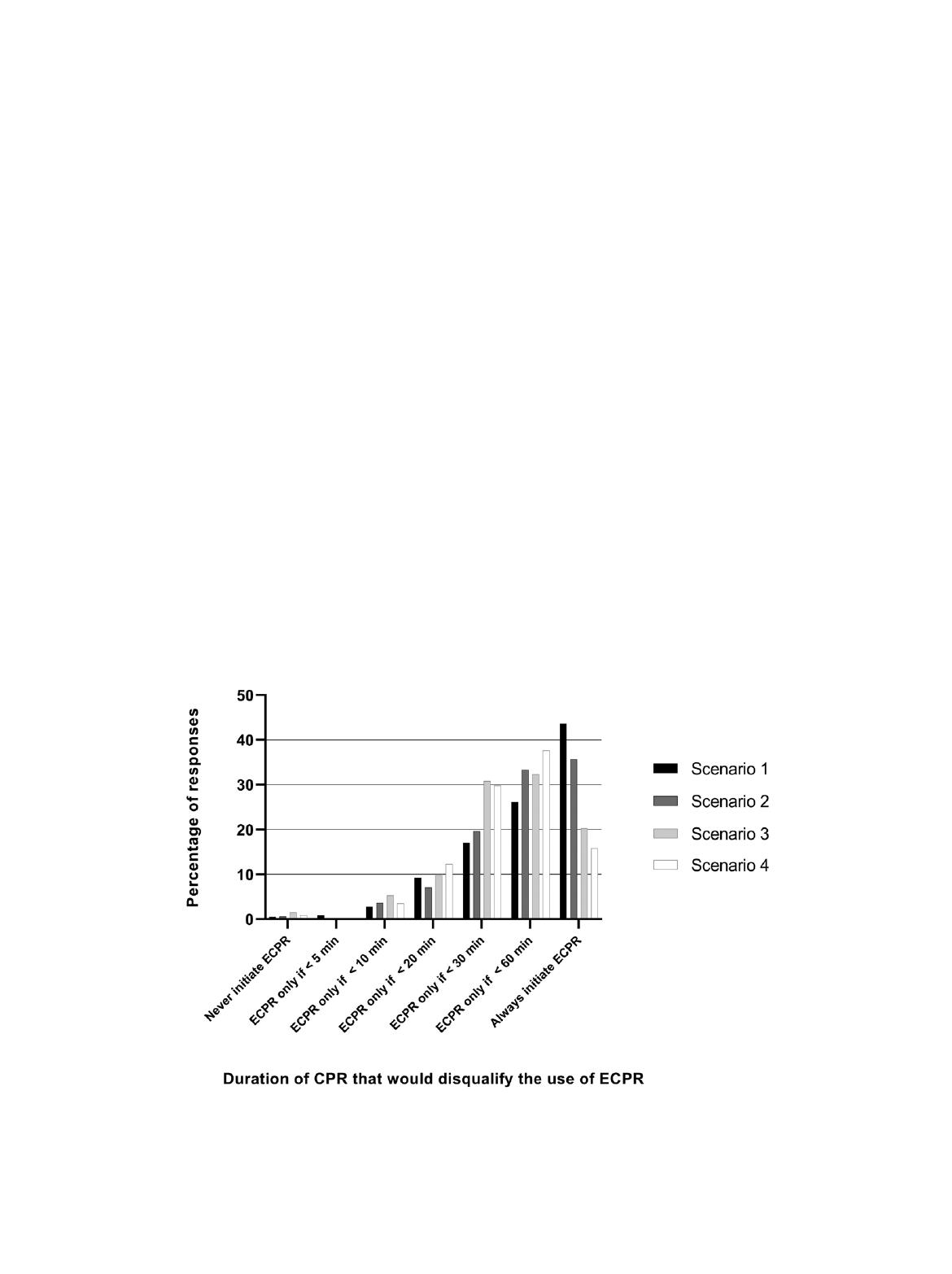
In cardiac scenarios, 40% of the responders would initiate
ECPR, irrespective of CPR duration, compared with less than
20% in noncardiac scenarios. Nearly 33% of responders
would consider ECPR if CPR duration was less than 60 min-
utes in noncardiac scenarios. Factors strongly decreasing the
likelihood to initiate ECPR were out-of-hospital unwitnessed
cardiac arrest and blood pH <6.60. Additional factors reduc-
ing this likelihood were multiple organ failure, pre-existing
neurologic delay, >10 doses of adrenaline, poor CPR quality,
and lactate >18 mmol/l. Pediatric intensive care unit loca-
tion for cardiac arrest, good CPR quality, 24/7 in-house extra-
corporeal membrane oxygenation (ECMO) team moderately
increase the likelihood of initiating ECPR. This international
survey of pediatric ECPR initiation practices reveals signifi-
cant differences regarding ECPR candidacy based on patient
category, location of arrest, duration of CPR, witness status,
and last blood pH. Further research identifying prognostic
factors measurable before ECMO initiation should help define
the optimal ECPR initiation strategy. ASAIO Journal 2021;
XX;1–1
Key Words: cardiac arrest, extracorporeal membrane oxygen-
ation, cardiopulmonary resuscitation, heart failure, respira-
tory insufficiency, surveys and questionnaires, intensive care
units, pediatric
Extracorporeal cardiopulmonary resuscitation (ECPR) pro-
vides cardiac output in situations of refractory cardiac arrest
when conventional CPR fails to restore spontaneous circu-
lation. Extracorporeal cardiopulmonary resuscitation has
become a substantial modality of extracorporeal life support,
accounting for 25% of all pediatric extracorporeal membrane
oxygenation (ECMO) runs reported to the Extracorporeal Life
Support Organization (ELSO) between 1989 to 2016,1 and has
been triggered in 27.2% of all cardiac arrest events across the
Pediatric Cardiac Critical Care Consortium’s cardiac intensive
care units (CICU) between 2014 and 2016.2 The number of
ELSO-reported ECPR cases has increased by 35% for neonatal
ECPR and 67% for pediatric ECPR in 2015 when compared
with 2009.1,3 In the last two decades, the overall survival rate to
hospital discharge following neonatal and pediatric ECPR has
been stable at around 45%.3,4 In a retrospective study by Lasa
et al.5 analyzing 3,756 in-hospital pediatric cardiac arrest
events requiring more than 10 minutes of CPR, survival to
discharge, as well as survival with favorable neurologic out-
come, were greater for ECPR patients versus conventional CPR
patients.
Currently, the international guidelines only support ECPR for
children with cardiac disease. Similar to the 2020 International
Consensus on Cardiopulmonary Resuscitation and Emergency
From the *Pediatric Cardiology Unit, Department of Women-
Children-Teenagers, Geneva University Hospitals, Geneva,
Switzerland; †Pediatric Intensive Care Unit, Department of Women-
Children-Teenagers, Geneva University Hospitals, Geneva,
Switzerland; ‡Pediatric Nephrology Unit, Department of Women-
Children-Teenagers, Geneva University Hospitals, Geneva,
Switzerland; §Cardiac Intensive Care Unit, Heart and Lung Directorate,
Great Ormond Street Hospital National Health Service Foundation
Trust, London, United Kingdom; ¶Department of Medicine, University
Hospital of S Maria della Misericordia, University of Udine, Udine,
Italy; ∥Department of Pediatrics, Heart Institute, Pediatric Cardiac
Critical Care Section, Children’s Hospital Colorado, University of
Colorado Denver School of Medicine, Aurora, Colorado; #Department
of Paediatric Critical Care, Perth Children’s Hospital, Perth, Western
Australia; **Sections of Critical Care Medicine and Cardiology,
Department of Pediatrics, Texas Children’s Hospital, Houston, Texas;
††Division of Cardiac Critical Care, Department of Cardiology,
Boston Children’s Hospital, Boston, Massachusetts; ‡‡Department of
Anesthesiology and Critical Care Medicine, Johns Hopkins University,
Baltimore, Maryland; and §§Division of Pediatric Critical Care
Medicine, Department of Pediatrics,Children’s Hospital of Richmond
at Virginia Commonwealth University, Richmond, Virginia.
Submitted for consideration February 2021; accepted for publica-
tion in revised form April 2021.
Disclosure: The authors have no conflicts of interest to report.
This study was supported by the Clinical and Translational Science
Award No. UL1TR000058 from the National Center for Advancing
Translational Sciences (for access to Research Electronic Data Capture).
M.M.B.’s institution received funding from the National Institutes of
Health/National Institute of Neurological Disorders and Stroke.
Supplemental digital content is available for this article. Direct URL
citations appear in the printed text, and links to the digital files are
provided in the HTML and PDF versions of this article on the journal’s
Web site (www.asaiojournal.com).
Correspondence: Oliver Karam, Division of Pediatric Critical Care
Medicine, Children’s Hospital of Richmond at Virginia Commonwealth
University, 1250 E Marshall Street, Richmond, VA 23298. Email: oliver.
Copyright © ASAIO 2021
DOI: 10.1097/MAT.0000000000001495
LWW